• Tel: 858.663.9055
  • SeparatorEmail: info@nsjbio.com
  • Tel: 858.663.9055
  • Email: info@nsjbio.com
Home >> Antibodies >> Recombinant SMAD4 Antibody

Recombinant SMAD4 Antibody [clone RM277] (R20294)

  Catalog No Formulation Size Price (USD)  
Image R20294-0.1ML Antibody in PBS with 50% glycerol, 1% BSA and 0.09% sodium azide 100 ul 429
Microvalidated Recrabbitmono
Bulk quote request
Western blot of human Jurkat and IMR32 cell lysate using recombinant SMAD4 antibody at 1:500. Predicted molecular weight ~60 kDa.
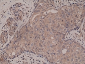
IHC testing of FFPE human breast cancer tissue with recombinant SMAD4 antibody at 1:2000.
Availability 1-3 business days
Species Reactivity Human
Predicted Reactivity Mouse, Rat
Format Purified
Clonality Recombinant Rabbit Monoclonal
Isotype Rabbit IgG
Clone Name RM277
Purity Protein A purified from animal origin-free supernatant
UniProt Q13485
Gene ID 4089
Applications Immunohistochemistry (FFPE) : 1:1000-1:2000 (1)
Western Blot : 1:500-1:1000
Limitations This recombinant SMAD4 antibody is available for research use only.
Review this product on BioCompare and get a $20 Amazon gift card

Related Products

Description

The Recombinant SMAD4 antibody is a recombinant reagent engineered to detect SMAD4, a central mediator of transforming growth factor beta (TGF-beta) and bone morphogenetic protein (BMP) signaling pathways. SMAD4, also known as DPC4 (deleted in pancreatic carcinoma locus 4), acts as the common partner SMAD that forms complexes with receptor-regulated SMADs (R-SMADs) to regulate transcription. Through this function, SMAD4 coordinates cellular processes including proliferation, differentiation, apoptosis, and tissue homeostasis. The Recombinant SMAD4 antibody provides highly specific and reproducible detection of this transcriptional regulator in research and diagnostic applications.

SMAD4 is encoded by the SMAD4 gene on chromosome 18q21.2. Structurally, it contains two conserved Mad homology domains: MH1 at the N terminus, which mediates DNA binding, and MH2 at the C terminus, which mediates protein-protein interactions. The linker region between MH1 and MH2 is involved in regulation through phosphorylation and other modifications. Unlike receptor-regulated SMADs, SMAD4 does not undergo direct phosphorylation by TGF-beta receptors. Instead, it partners with phosphorylated R-SMADs such as SMAD2, SMAD3, SMAD1, and SMAD5, forming transcriptionally active complexes that translocate to the nucleus and regulate gene expression. The Recombinant SMAD4 antibody enables researchers to monitor this critical signaling hub.

In western blotting, the Recombinant SMAD4 antibody detects endogenous SMAD4 in cell and tissue lysates, allowing quantification of protein levels across experimental conditions. In immunohistochemistry, it highlights nuclear and cytoplasmic localization, which varies depending on signaling state. In immunofluorescence, the antibody reveals dynamic redistribution of SMAD4 during TGF-beta or BMP stimulation. Recombinant production ensures consistent specificity and eliminates variability associated with hybridoma-derived antibodies.

The Recombinant SMAD4 antibody is particularly important in cancer research, as inactivating mutations or deletions of SMAD4 occur in pancreatic, colorectal, and gastric cancers. Loss of SMAD4 function disrupts TGF-beta tumor suppressor signaling and contributes to tumor progression, metastasis, and resistance to therapy. In developmental biology, SMAD4 is critical for embryogenesis, stem cell differentiation, and organ formation. It is also studied in fibrotic disorders, where dysregulated TGF-beta signaling drives excessive extracellular matrix deposition. Synonym phrases such as recombinant DPC4 antibody, recombinant common mediator SMAD antibody, and recombinant TGF-beta pathway SMAD antibody improve discoverability for diverse research audiences.

By delivering validated and reproducible detection, the Recombinant SMAD4 antibody supports high-quality studies of signaling pathways that regulate growth and differentiation. NSJ Bioreagents ensures strict quality control for this reagent, giving researchers confidence in applications including western blotting, immunohistochemistry, and immunofluorescence. With specificity for SMAD4, the Recombinant SMAD4 antibody is an indispensable tool for advancing research in oncology, developmental biology, and fibrosis.

Application Notes

The stated application concentrations are suggested starting points. Titration of the recombinant SMAD4 antibody may be required due to differences in protocols and secondary/substrate sensitivity.

1. A pH6 Citrate buffer or pH9 Tris/EDTA buffer HIER step is recommended for testing of FFPE tissue sections.

Immunogen

A peptide corresponding to the C-terminus of human SMAD4 was used as the immunogen for this recombinant SMAD4 antibody.

Storage

Store the recombinant SMAD4 antibody at -20oC (with glycerol) or aliquot and store at -20oC (without glycerol).

Cross
Bulk Quote Request Form
Name*:
Organization*:
Email*:
Phone Number*:
Catalog No.*:
Comments and Specifics(amount, formulation, etc.)*:
Validation code: Captchapackage Image


Can't read the image? click here to refresh.
    *required field

Your bulk quote request has been submitted successfully!

Please contact us if you have any questions.