• Tel: 858.663.9055
  • SeparatorEmail: info@nsjbio.com
  • Tel: 858.663.9055
  • Email: info@nsjbio.com
Home >> Antibodies >> Recombinant PTH Antibody (N-Terminal) / Rabbit Monoclonal

Recombinant PTH Antibody (N-Terminal) / Rabbit Monoclonal [clone PTH/2295R] (V3644)

  Catalog No Formulation Size Price (USD)  
Image V3644-100UG 0.2 mg/ml in 1X PBS with 0.1 mg/ml BSA (US sourced) and 0.05% sodium azide 100 ug 539
Image
V3644-20UG 0.2 mg/ml in 1X PBS with 0.1 mg/ml BSA (US sourced) and 0.05% sodium azide 20 ug 249
Image
V3644SAF-100UG 1 mg/ml in 1X PBS; BSA free, sodium azide free 100 ug 539
Image
V3644IHC-7ML Prediluted in 1X PBS with 0.1 mg/ml BSA (US sourced) and 0.05% sodium azide; *For IHC use only* 7 ml 539
Microvalidated Recrabbitmono
Bulk quote request
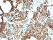
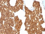
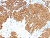
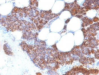
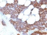
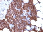
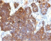
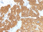
IHC testing of FFPE human parathyroid gland stained with recombinant PTH antibody (clone PTH/2295R). Required HIER: steam sections in pH 9 10mM Tris with 1mM EDTA for 10-20 min.
Analysis of HuProt(TM) microarray containing more than 19,000 full-length human proteins using recombinant PTH antibody (clone PTH/2295R). These results demonstrate the foremost specificity of the PTH/2295R mAb.
Z- and S- score: The Z-score represents the strength of a signal that an antibody (in combination with a fluorescently-tagged anti-IgG secondary Ab) produces when binding to a particular protein on the HuProt(TM) array. Z-scores are described in units of standard deviations (SD's) above the mean value of all signals generated on that array. If the targets on the HuProt(TM) are arranged in descending order of the Z-score, the S-score is the difference (also in units of SD's) between the Z-scores. The S-score therefore represents the relative target specificity of an Ab to its intended target.
SDS-PAGE analysis of purified, BSA-free recombinant PTH antibody (clone PTH/2295R) as confirmation of integrity and purity.
Availability 1-3 business days
Species Reactivity Human
Format Purified
Clonality Recombinant Rabbit Monoclonal
Isotype Rabbit IgG, kappa
Clone Name PTH/2295R
Purity Protein A affinity chromatography
UniProt P01270
Localization Cytoplasmic and secreted
Applications Immunohistochemistry (FFPE) : 1-2ug/ml for 30 min at RT
Limitations This recombinant PTH antibody is available for research use only.
Review this product on BioCompare and get a $20 Amazon gift card

Related Products

Description

Recombinant PTH antibody is a high quality reagent for detecting parathyroid hormone, a peptide hormone encoded by the PTH gene. PTH is secreted by the parathyroid glands and plays a critical role in calcium and phosphate homeostasis. By acting on bone, kidney, and indirectly on the intestine, PTH maintains serum calcium levels within a narrow range. Because of this central regulatory role, PTH is studied in endocrinology, metabolism, and bone biology.

PTH acts on osteoblasts to stimulate bone resorption through the induction of osteoclast differentiation, thereby releasing calcium into circulation. In the kidney, PTH increases calcium reabsorption and decreases phosphate reabsorption, while also promoting the activation of vitamin D. The active vitamin D metabolite enhances intestinal calcium absorption, completing the regulatory loop. Imbalances in PTH secretion cause disorders such as hyperparathyroidism, osteoporosis, and hypocalcemia.

The Recombinant PTH antibody clone PTH/2295R provides consistent and specific recognition of this hormone. Recombinant production ensures reproducibility across batches, reducing variability in sensitive studies. Clone PTH/2295R has been applied in research focused on calcium signaling, metabolic regulation, and bone health. Its specificity makes it a valuable tool for both basic and translational studies.

Research using clone PTH/2295R has provided insights into how PTH maintains mineral balance and how altered PTH signaling contributes to metabolic bone disease. Elevated or reduced hormone levels are key diagnostic indicators in endocrine disorders. This antibody continues to support work in physiology, pathology, and clinical research.

NSJ Bioreagents supplies this Recombinant PTH antibody to support high quality studies of hormone regulation and bone biology. Parathyroid hormone is also referred to as parathyrin antibody, parathormone antibody, PTH intact hormone antibody, and parathyroid gland hormone antibody, reflecting its varied names in the literature.

Application Notes

Optimal dilution of the recombinant PTH antibody should be determined by the researcher.

1. The prediluted format is supplied in a dropper bottle and is optimized for use in IHC. After epitope retrieval step (if required), drip mAb solution onto the tissue section and incubate at RT for 30 min.

Immunogen

A synthetic peptide from the N-terminal region of human Parathyroid hormone was used as the immunogen for the recombinant PTH antibody.

Storage

Store the recombinant PTH antibody at 2-8oC (with azide) or aliquot and store at -20oC or colder (without azide).

Cross
Bulk Quote Request Form
Name*:
Organization*:
Email*:
Phone Number*:
Catalog No.*:
Comments and Specifics(amount, formulation, etc.)*:
Validation code: Captchapackage Image


Can't read the image? click here to refresh.
    *required field

Your bulk quote request has been submitted successfully!

Please contact us if you have any questions.