• Tel: 858.663.9055
  • SeparatorEmail: info@nsjbio.com
  • Tel: 858.663.9055
  • Email: info@nsjbio.com
Home >> Antibodies >> Recombinant PMS2 Antibody / PMS1 homolog 2

Recombinant PMS2 Antibody / PMS1 homolog 2 [clone PMS2/4373R] (V8728)

  Catalog No Formulation Size Price (USD)  
Image V8728-100UG 0.2 mg/ml in 1X PBS with 0.1 mg/ml BSA (US sourced) and 0.05% sodium azide 100 ug 539
Image
V8728-20UG 0.2 mg/ml in 1X PBS with 0.1 mg/ml BSA (US sourced) and 0.05% sodium azide 20 ug 249
Image
V8728SAF-100UG 1 mg/ml in 1X PBS; BSA free, sodium azide free 100 ug 539
Microvalidated Recrabbitmono
Bulk quote request
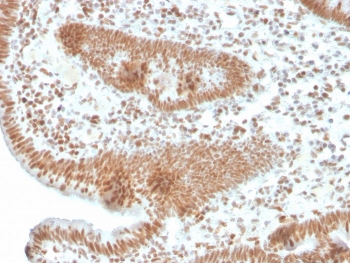
IHC staining of FFPE human colon carcinoma with recombinant PMS2 antibody. HIER: boil tissue sections in pH 9 10mM Tris with 1mM EDTA for 20 min and allow to cool before testing.
IHC staining of FFPE human colon carcinoma with recombinant PMS2 antibody. HIER: boil tissue sections in pH 9 10mM Tris with 1mM EDTA for 20 min and allow to cool before testing.
Analysis of HuProt(TM) microarray containing more than 19,000 full-length human proteins using PMS2 antibody. These results demonstrate the foremost specificity of the PMS2/4373R mAb. Z- and S- score: The Z-score represents the strength of a signal that an antibody (in combination with a fluorescently-tagged anti-IgG secondary Ab) produces when binding to a particular protein on the HuProt(TM) array. Z-scores are described in units of standard deviations (SD's) above the mean value of all signals generated on that array. If the targets on the HuProt(TM) are arranged in descending order of the Z-score, the S-score is the difference (also in units of SD's) between the Z-scores. The S-score therefore represents the relative target specificity of an Ab to its intended target.
Availability 1-3 business days
Species Reactivity Human
Format Purified
Clonality Recombinant Rabbit Monoclonal
Isotype Rabbit IgG
Clone Name PMS2/4373R
Purity Protein A affinity chromatography
UniProt P54278
Localization Nuclear
Applications Immunohistochemistry (FFPE) : 1-2ug/ml
Limitations This recombinant PMS2 antibody is available for research use only.
Review this product on BioCompare and get a $20 Amazon gift card

Related Products

Description

Recombinant PMS2 antibody detects PMS2, a mismatch repair endonuclease encoded by the PMS2 gene. PMS2 partners with MLH1 to form the MutLα complex, which coordinates repair of DNA replication errors. Because mutations in PMS2 are linked to Lynch syndrome and other cancers, Recombinant PMS2 antibody is widely used in oncology, genetics, and DNA repair research.

PMS2 contains an ATPase domain and an endonuclease domain, enabling recognition and repair of mismatched bases during replication. The PMS2-MLH1 heterodimer interacts with MutSα and MutSβ complexes to initiate repair, preventing mutation accumulation. Loss of PMS2 function destabilizes the mismatch repair system, resulting in microsatellite instability and increased cancer risk, particularly in colorectal and endometrial carcinomas.

The Recombinant PMS2 antibody clone PMS2/4373R provides specific and reproducible detection. Recombinant technology ensures batch-to-batch uniformity, which is essential in long-term studies. Clone PMS2/4373R has been cited in peer-reviewed research on DNA repair mechanisms, mismatch repair deficiency, and cancer diagnostics. Its applications include immunohistochemistry, immunoblotting, and molecular pathology assays.

Research using clone PMS2/4373R has demonstrated how PMS2 loss serves as a diagnostic marker for mismatch repair deficiency and Lynch syndrome. In oncology, detection of PMS2 guides treatment decisions, particularly regarding immunotherapy response in tumors with microsatellite instability. Studies have also shown PMS2 involvement in broader DNA damage responses, linking it to genome integrity and stability.

NSJ Bioreagents supplies this Recombinant PMS2 antibody to support oncology, genetics, and DNA repair biology. Alternate designations include PMS2 endonuclease antibody, postmeiotic segregation increased 2 protein antibody, mismatch repair protein antibody, MutL homolog antibody, and Lynch syndrome marker antibody.

Application Notes

Optimal dilution of the recombinant PMS2 antibody should be determined by the researcher.

Immunogen

A portion of amino acids 1-100 from the human protein was used as the immunogen for the recombinant PMS2 antibody.

Storage

Store the recombinant PMS2 antibody at 2-8oC (with azide) or aliquot and store at -20oC or colder (without azide).

Cross
Bulk Quote Request Form
Name*:
Organization*:
Email*:
Phone Number*:
Catalog No.*:
Comments and Specifics(amount, formulation, etc.)*:
Validation code: Captchapackage Image


Can't read the image? click here to refresh.
    *required field

Your bulk quote request has been submitted successfully!

Please contact us if you have any questions.