• Tel: 858.663.9055
  • SeparatorEmail: info@nsjbio.com
  • Tel: 858.663.9055
  • Email: info@nsjbio.com
Home >> Antibodies >> Recombinant PLAP Antibody / Placental Alkaline Phosphatase / N-Terminal

Recombinant PLAP Antibody / Placental Alkaline Phosphatase / N-Terminal [clone RM317] (R20336)

  Catalog No Formulation Size Price (USD)  
Image R20336-0.1ML Antibody in PBS with 50% glycerol, 1% BSA and 0.09% sodium azide 100 ul 429
Microvalidated Recrabbitmono
Bulk quote request
Western blot testing of human A431 cell lysate with recombinant PLAP antibody at 1:2000 dilution. Predicted molecular weight ~58 kDa but routinely visualized at 60-70 kDa.
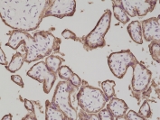
IHC testing of formalin fixed and paraffin embedded human placental tissue with recombinant PLAP antibody at 1:500 dilution. HIER: steam section in pH6 citrate buffer for 20 min and allow to cool prior to staining.
Availability 1-3 business days
Species Reactivity Human
Format Purified
Clonality Recombinant Rabbit Monoclonal
Isotype Rabbit IgG
Clone Name RM317
Purity Protein A purified from animal origin-free supernatant
UniProt P05187
Localization Cytoplasmic, cell membrane
Applications Immunohistochemistry (FFPE) : 1:500-1:1000
Western Blot : 1:1000-1:2000
Limitations This recombinant PLAP antibody is available for research use only.
Review this product on BioCompare and get a $20 Amazon gift card

Related Products

Description

Alkaline phosphatase, placental type is a membrane-bound glycosylated dimeric enzyme, also referred to as the heat-stable form, that is expressed primarily in the placenta, although it is closely related to the intestinal form of the enzyme as well as to the placental-like form.

PLAP is a tumor marker, especially in seminoma and ovarian cancer. PLAP is reliable only in non-smokers, as smoking interferes with measurement of PLAP, since serum concentrations of PLAP are increased up to 10-fold in smokers and its measurement is therefore of little value in this group. [Wiki]

Application Notes

The stated application concentrations are suggested starting points. Titration of the recombinant PLAP antibody may be required due to differences in protocols and secondary/substrate sensitivity.

Immunogen

A peptide corresponding to the N-terminus of human placental alkaline phosphatase was used as the immunogen for the recombinant PLAP antibody.

Storage

Store the recombinant PLAP antibody at -20oC.

Cross
Bulk Quote Request Form
Name*:
Organization*:
Email*:
Phone Number*:
Catalog No.*:
Comments and Specifics(amount, formulation, etc.)*:
Validation code: Captchapackage Image


Can't read the image? click here to refresh.
    *required field

Your bulk quote request has been submitted successfully!

Please contact us if you have any questions.