• Tel: 858.663.9055
  • SeparatorEmail: info@nsjbio.com
  • Tel: 858.663.9055
  • Email: info@nsjbio.com
Home >> Antibodies >> Recombinant Placental Alkaline Phosphatase Antibody

Recombinant Placental Alkaline Phosphatase Antibody [clone ALPP/2899R] (V3993)

  Catalog No Formulation Size Price (USD)  
Image V3993-100UG 0.2 mg/ml in 1X PBS with 0.1 mg/ml BSA (US sourced) and 0.05% sodium azide 100 ug 539
Image
V3993-20UG 0.2 mg/ml in 1X PBS with 0.1 mg/ml BSA (US sourced) and 0.05% sodium azide 20 ug 249
Image
V3993SAF-100UG 1 mg/ml in 1X PBS; BSA free, sodium azide free 100 ug 539
Image
V3993IHC-7ML Prediluted in 1X PBS with 0.1 mg/ml BSA (US sourced) and 0.05% sodium azide; *For IHC use only* 7 ml 539
Microvalidated Recrabbitmono
Bulk quote request
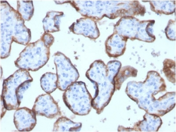
IHC testing of FFPE human placenta with recombinant Placental Alkaline Phosphatase antibody (clone ALPP/2899R).
SDS-PAGE analysis of purified, BSA-free recombinant Placental Alkaline Phosphatase antibody (clone ALPP/2899R) as confirmation of integrity and purity.
Western blot testing of human JEG-3 cells with recombinant Placental Alkaline Phosphatase antibody (clone ALPP/2899R). Predicted molecular weight ~58 kDa but routinely visualized at 60-70 kDa.
Availability 1-3 business days
Species Reactivity Human
Format Purified
Clonality Recombinant Rabbit Monoclonal
Isotype Rabbit IgG, kappa
Clone Name ALPP/2899R
Purity Protein A affinity chromatography
UniProt P05187
Localization Cytoplasmic and cell surface
Applications Immunohistochemistry (FFPE) : 0.25-0.5ug/ml for 30 min at RT
Western Blot : 1-2ug/ml
Limitations This recombinant Placental Alkaline Phosphatase antibody is available for research use only.
Review this product on BioCompare and get a $20 Amazon gift card

Related Products

Description

PLAP is a tissue specific, trophoblast-derived, 70kDa, glycosyl-phosphatidylinositol (GPI)-anchored, dimeric, Zn2+ metallo-glycoprotein that catalyzes the hydrolysis of phosphomonoesters into an inorganic phosphate and an alcohol. It is present in the placenta and serum of pregnant women and in high frequency in gynecological and testicular cancers and in lower frequency in other tumors. The three tissue-specific AP's in humans, PLAP, germ cell AP (GCAP) and intestinal AP, are 90-98% homologous. Non-tissue specific AP is found in kidney, liver and bone. This mAb binds equally well to all common allelic variants (S, F, FS and I) of PLAP and to some variants of AP from normal human testis. This mAb can be used as tracer antibody in ELISA to detect PLAP in serum of S, F, FS and I phenotypes.

Application Notes

Optimal dilution of the recombinant Placental Alkaline Phosphatase antibody should be determined by the researcher.
1. The prediluted format is supplied in a dropper bottle and is optimized for use in IHC. After epitope retrieval step (if required), drip mAb solution onto the tissue section and incubate at RT for 30 min.

Immunogen

Recombinant full-length human protein was used as the immunogen for the recombinant Placental Alkaline Phosphatase antibody.

Storage

Store the recombinant Placental Alkaline Phosphatase antibody at 2-8oC (with azide) or aliquot and store at -20oC or colder (without azide).

Cross
Bulk Quote Request Form
Name*:
Organization*:
Email*:
Phone Number*:
Catalog No.*:
Comments and Specifics(amount, formulation, etc.)*:
Validation code: Captchapackage Image


Can't read the image? click here to refresh.
    *required field

Your bulk quote request has been submitted successfully!

Please contact us if you have any questions.