• Tel: 858.663.9055
  • SeparatorEmail: info@nsjbio.com
  • Tel: 858.663.9055
  • Email: info@nsjbio.com
Home >> Antibodies >> Recombinant Phosphotyrosine Antibody

Recombinant Phosphotyrosine Antibody [clone RM111] (R20195)

  Catalog No Formulation Size Price (USD)  
Image R20195-100UG 1 mg/ml in PBS with 50% glycerol, 1% BSA and 0.09% sodium azide 100 ug 465
Microvalidated Recrabbitmono
Bulk quote request
ICC test of serum-starved human A431 cells non-treated or treated with EGF, using the recombinant Phosphotyrosine antibody at 1:500 (red) and DAPI (blue).
Western blot of serum-starved human A431 cells non-treated or treated with EGF using the recombinant Phosphotyrosine antibody at 1:5000. The blot was exposed to the film at different time points.
IP of EGF-treated human A431 cells by the recombinant Phosphotyrosine antibody at 1:1000 and blotted with an anti-EGFR mAb. (1) Whole lysate control; (2) IP by rabbit IgG control; (3) IP by RM111 mAb.
Luminex analysis of the recombinant Phosphotyrosine antibody reaction against phosphorylated or non-phosphorylated Serine, Threonine, and Tyrosine. The RM111 mAb reacts only to phosphorylated Tyrosine.
Availability 1-3 business days
Species Reactivity All Species
Format Purified
Clonality Recombinant Rabbit Monoclonal
Isotype Rabbit IgG
Clone Name RM111
Purity Protein A purified from animal origin-free supernatant
Gene ID N/A
Applications Western Blot : 1:1000 -1:5000
Immunoprecipitation : 1:200-1:1000
Chromatin IP (ChIP) : 1:200-1:1000
Immunocytochemistry : 1:200-1:500
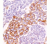
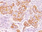
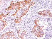
Immunohistochemistry : 1:200-1:500 (1)
Limitations This recombinant Phosphotyrosine antibody is available for research use only.
Review this product on BioCompare and get a $20 Amazon gift card

Related Products

Description

This recombinant Phosphotyrosine antibody reacts to tyrosine-phosphorylated proteins. No cross reactivity with nonphosphorylated tyrosine, phosphoserine, and phosphorthreonine seen.

Application Notes

The stated application concentrations are suggested starting points. Titration of the recombinant Phosphotyrosine antibody may be required due to differences in protocols and secondary/substrate sensitivity.

1. A pH6 Citrate buffer or pH9 Tris/EDTA buffer HIER step is recommended for testing of FFPE tissue sections.

Immunogen

Phosphotyrosine-BSA conjugate was used as the immunogen for this recombinant Phosphotyrosine antibody.

Storage

Store the recombinant Phosphotyrosine antibody at -20oC (with glycerol) or aliquot and store at -20oC (without glycerol).

Cross
Bulk Quote Request Form
Name*:
Organization*:
Email*:
Phone Number*:
Catalog No.*:
Comments and Specifics(amount, formulation, etc.)*:
Validation code: Captchapackage Image


Can't read the image? click here to refresh.
    *required field

Your bulk quote request has been submitted successfully!

Please contact us if you have any questions.