• Tel: 858.663.9055
  • SeparatorEmail: info@nsjbio.com
  • Tel: 858.663.9055
  • Email: info@nsjbio.com
Home >> Antibodies >> Recombinant Phospho-RNA Polymerase II CTD Repeat YSPTSPS Antibody / pS5

Recombinant Phospho-RNA Polymerase II CTD Repeat YSPTSPS Antibody / pS5 [clone POLR2A/9089R] (V5521)

  Catalog No Formulation Size Price (USD)  
Image V5521-100UG 0.2 mg/ml in 1X PBS with 0.1 mg/ml BSA (US sourced), 0.05% sodium azide 100 ug 539
Image
V5521-20UG 0.2 mg/ml in 1X PBS with 0.1 mg/ml BSA (US sourced), 0.05% sodium azide 20 ug 249
Image
V5521SAF-100UG 1 mg/ml in 1X PBS; BSA free, sodium azide free 100 ug 539
Microvalidated Recrabbitmono
Bulk quote request
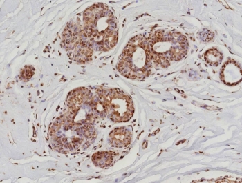
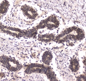
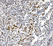
IHC staining of FFPE human breast cancer tissue with recombinant Phospho-RNA Polymerase II CTD Repeat YSPTSPS antibody (clone POLR2A/9089R). HIER: boil tissue sections in pH 9 10mM Tris with 1mM EDTA for 20 min and allow to cool before testing.
SDS-PAGE analysis of purified, BSA-free recombinant Phospho-RNA Polymerase II CTD Repeat YSPTSPS antibody (POLR2A/9089R) as confirmation of integrity and purity.
Availability 1-3 business days
Species Reactivity Human
Format Purified
Clonality Recombinant Rabbit Monoclonal
Isotype Rabbit IgG, kappa
Clone Name POLR2A/9089R
Purity Protein A/G affinity
UniProt P24928
Localization Nucleus
Applications Immunohistochemistry (FFPE) : 1-2ug/ml
Limitations This recombinant Phospho-RNA Polymerase II CTD Repeat YSPTSPS antibody is available for research use only.
Review this product on BioCompare and get a $20 Amazon gift card

Related Products

Description

RNA polymerase II (Pol II) is an enzyme that is composed of 12 subunits and is responsible for the transcription of protein-coding genes. Transcription initiation requires Pol II-mediated recruitment of transcription machinery to a target promoter, thereby allowing transcription to begin. The largest subunit of Pol II (referred to as RPB1 or RPB205) is a 1,840 amino acid protein that contains one C2H2-type zinc finger and a C-terminal domain comprised of several heptapeptide repeats. Although Pol II function requires the cooperation of all twelve subunits, the largest subunit conveys Pol II catalytic activity and, together with the second largest subunit, forms the active center of the Pol II enzyme. Additionally, the large subunit participates in forming the DNA-binding domain of Pol II, a groove that is necessary for transcription of the DNA template. Without proper function of the large subunit, mRNA synthesis and subsequent transcription elongation cannot occur.

Application Notes

Optimal dilution of the recombinant Phospho-RNA Polymerase II CTD Repeat YSPTSPS antibody should be determined by the researcher.

Immunogen

Ten repeats of synthetic peptide YSPTSPS with phosphorylated serine 5 was used as the immunogen for the recombinant Phospho-RNA Polymerase II CTD Repeat YSPTSPS antibody.

Storage

Aliquot the recombinant Phospho-RNA Polymerase II CTD Repeat YSPTSPS antibody and store frozen at -20oC or colder. Avoid repeated freeze-thaw cycles.

Cross
Bulk Quote Request Form
Name*:
Organization*:
Email*:
Phone Number*:
Catalog No.*:
Comments and Specifics(amount, formulation, etc.)*:
Validation code: Captchapackage Image


Can't read the image? click here to refresh.
    *required field

Your bulk quote request has been submitted successfully!

Please contact us if you have any questions.