• Tel: 858.663.9055
  • SeparatorEmail: info@nsjbio.com
  • Tel: 858.663.9055
  • Email: info@nsjbio.com
Home >> Antibodies >> Recombinant phospho-EIF2A Antibody (Ser51)

Recombinant phospho-EIF2A Antibody (Ser51) [clone RM298] (R20320)

  Catalog No Formulation Size Price (USD)  
Image R20320-0.1ML Antibody in PBS with 50% glycerol, 1% BSA and 0.09% sodium azide 100 ul 429
Microvalidated Recrabbitmono
Bulk quote request
Western blot testing of lysate from human HeLa cells, untreated (-) or treated (+) with Calyculin A (CalA), with recombinant phospho-EIF2A antibody at 1:200 dilution. Predicted molecular weight ~36 kDa.
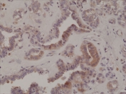
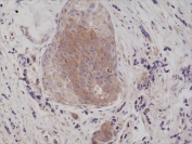
IHC testing of formalin fixed and paraffin embedded human breast cancer tissue with recombinant phospho-EIF2A antibody at 1:200 dilution. HIER: steam section in pH6 citrate buffer for 20 min and allow to cool prior to staining.
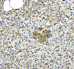
IHC testing of formalin fixed and paraffin embedded human thyroid cancer tissue with recombinant phospho-EIF2A antibody at 1:200 dilution. HIER: steam section in pH6 citrate buffer for 20 min and allow to cool prior to staining.
Availability 1-3 business days
Species Reactivity Human
Predicted Reactivity Mouse, Rat
Format Purified
Clonality Recombinant Rabbit Monoclonal
Isotype Rabbit IgG
Clone Name RM298
Purity Protein A purified from animal origin-free supernatant
UniProt P05198
Localization Cytoplasmic
Applications Immunohistochemistry (FFPE) : 1:100-1:200
Western Blot : 1:100-1:200
Limitations This recombinant phospho-EIF2A antibody is available for research use only.
Review this product on BioCompare and get a $20 Amazon gift card

Related Products

Description

This antibody reacts to human eIF-2a (Eukaryotic translation initiation factor 2 subunit alpha) only when phosphorylated at Ser51. There is no cross-reactivity to eIF-2a without phosphorylation at Ser51.

Application Notes

The stated application concentrations are suggested starting points. Titration of the recombinant phospho-EIF2A antibody may be required due to differences in protocols and secondary/substrate sensitivity.

Immunogen

A peptide corresponding the the amino acids surrounding phosphorylated serine 51 was used as the immunogen for the recombinant phospho-EIF2A antibody.

Storage

Store the recombinant phospho-EIF2A antibody at -20oC.

Cross
Bulk Quote Request Form
Name*:
Organization*:
Email*:
Phone Number*:
Catalog No.*:
Comments and Specifics(amount, formulation, etc.)*:
Validation code: Captchapackage Image


Can't read the image? click here to refresh.
    *required field

Your bulk quote request has been submitted successfully!

Please contact us if you have any questions.