• Tel: 858.663.9055
  • SeparatorEmail: info@nsjbio.com
  • Tel: 858.663.9055
  • Email: info@nsjbio.com
Home >> Antibodies >> Recombinant phospho-EGFR Antibody (Tyr1173)

Recombinant phospho-EGFR Antibody (Tyr1173) [clone RM269] (R20286)

  Catalog No Formulation Size Price (USD)  
Image R20286-0.1ML Antibody in PBS with 50% glycerol, 1% BSA and 0.09% sodium azide 100 ul 429
Microvalidated Recrabbitmono
Bulk quote request
Western blot of A431 cell lysate, untreated (-) or treated (+) with EGF, using recombinant phospho-EGFR antibody at 1:500. Expected molecular weight: 134-180 kDa depending on glycosylation level.
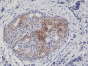
IHC testing of FFPE human breast cancer tissue with recombinant phospho-EGFR antibody at 1:5000.
Availability 1-3 business days
Species Reactivity Human
Format Purified
Clonality Recombinant Rabbit Monoclonal
Isotype Rabbit IgG
Clone Name RM269
Purity Protein A purified from animal origin-free supernatant
UniProt P00533
Gene ID 1956
Localization Cell membrane, cytoplasm
Applications Immunohistochemistry (FFPE) : 1:500-1:1000 (1)
Western Blot : 1:1000-1:5000
Limitations This recombinant phospho-EGFR antibody is available for research use only.
Review this product on BioCompare and get a $20 Amazon gift card

Related Products

Description

This recombinant phospho-EGFR antibody reacts to human EGF Receptor only when phosphorylated at Tyr1173. There is no cross-reactivity to EGFR without phosphorylation at Tyr1173.

Application Notes

The stated application concentrations are suggested starting points. Titration of the recombinant phospho-EGFR antibody may be required due to differences in protocols and secondary/substrate sensitivity.

1. A pH6 Citrate buffer or pH9 Tris/EDTA buffer HIER step is recommended for testing of FFPE tissue sections.

Immunogen

A phospho-peptide corresponding to human phospho- EGFR (Tyr1173) was used as the immunogen for this recombinant phospho-EGFR antibody.

Storage

Store the recombinant phospho-EGFR antibody at -20oC (with glycerol) or aliquot and store at -20oC (without glycerol).

Cross
Bulk Quote Request Form
Name*:
Organization*:
Email*:
Phone Number*:
Catalog No.*:
Comments and Specifics(amount, formulation, etc.)*:
Validation code: Captchapackage Image


Can't read the image? click here to refresh.
    *required field

Your bulk quote request has been submitted successfully!

Please contact us if you have any questions.