• Tel: 858.663.9055
  • SeparatorEmail: info@nsjbio.com
  • Tel: 858.663.9055
  • Email: info@nsjbio.com
Home >> Antibodies >> Recombinant PDGFRB Antibody / C-Terminal

Recombinant PDGFRB Antibody / C-Terminal [clone RM303] (R20325)

  Catalog No Formulation Size Price (USD)  
Image R20325-0.1ML Antibody in PBS with 50% glycerol, 1% BSA and 0.09% sodium azide 100 ul 429
Microvalidated Recrabbitmono
Bulk quote request
Western blot testing of human brain tissue lysate with recombinant PDGFRB antibody at 1:100. Expected molecular weight: 123-190 kDa depending on level of glycosylation.
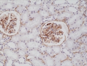
IHC testing of formalin fixed and paraffin embedded human kidney tissue with recombinant PDGFRB antibody at 1:200 dilution. HIER: steam section in pH6 citrate buffer for 20 min and allow to cool prior to staining.
Availability 1-3 business days
Species Reactivity Human
Format Purified
Clonality Recombinant Rabbit Monoclonal
Isotype Rabbit IgG
Clone Name RM303
Purity Protein A purified from animal origin-free supernatant
UniProt P09619
Localization Cell membrane, cytoplasm
Applications Immunohistochemistry (FFPE) : 1:100-1:200
Western Blot : 1:100-1:200
Limitations This recombinant PDGFRB antibody is available for research use only.
Review this product on BioCompare and get a $20 Amazon gift card

Related Products

Description

This antibody reacts to human CD140b (Platelet-derived growth factor receptor beta).

Application Notes

The stated application concentrations are suggested starting points. Titration of the recombinant PDGFRB antibody may be required due to differences in protocols and secondary/substrate sensitivity.

Immunogen

A peptide corresponding to the C-terminus of human CD140b/PDGFRB was used as the immunogen for the recombinant PDGFRB antibody.

Storage

Store the recombinant PDGFRB antibody at -20oC.

Cross
Bulk Quote Request Form
Name*:
Organization*:
Email*:
Phone Number*:
Catalog No.*:
Comments and Specifics(amount, formulation, etc.)*:
Validation code: Captchapackage Image


Can't read the image? click here to refresh.
    *required field

Your bulk quote request has been submitted successfully!

Please contact us if you have any questions.