• Tel: 858.663.9055
  • SeparatorEmail: info@nsjbio.com
  • Tel: 858.663.9055
  • Email: info@nsjbio.com
Home >> Antibodies >> Recombinant Paxillin Antibody

Recombinant Paxillin Antibody [clone RM256] (R20277)

  Catalog No Formulation Size Price (USD)  
Image R20277-0.1ML Antibody in PBS with 50% glycerol, 1% BSA and 0.09% sodium azide 100 ul 429
Microvalidated Recrabbitmono
Bulk quote request
Western blot testing of human HeLa cell lysate with recombinant Paxillin antibody at 1:1000. Predicted molecular weight: 61/65/66 kDa (alpha/beta/gamma).
ICC/IF staining of HeLa cells using recombinant Paxillin antibody (red). Actin filaments have been labeled with fluorescein phalloidin (green), and nucleus labeled with DAPI (blue).
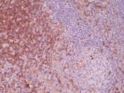
IHC testing of FFPE human tonsil tissue with recombinant Paxillin antibody. HIER: steam section in pH6 citrate buffer for 20 min and allow to cool prior to staining.
Availability 1-3 business days
Species Reactivity Human
Predicted Reactivity Mouse, Rat
Format Purified
Clonality Recombinant Rabbit Monoclonal
Isotype Rabbit IgG
Clone Name RM256
Purity Protein A purified from animal origin-free supernatant
UniProt P49023
Gene ID 5829
Applications Immunocytochemistry : 1:1000-1:2000
Western Blot : 1:1000-1:2000
Immunohistochemistry (FFPE) : 1:1000
Limitations This recombinant Paxillin antibody is available for research use only.
Review this product on BioCompare and get a $20 Amazon gift card

Related Products

Description

The Recombinant Paxillin antibody is a recombinant reagent designed to detect paxillin, a multifunctional adaptor protein that localizes to focal adhesions and regulates signaling between the extracellular matrix and the cytoskeleton. Paxillin is encoded by the PXN gene and plays a critical role in coordinating cell adhesion, migration, proliferation, and survival. Through its multiple protein–protein interaction domains, paxillin integrates signals from integrins, growth factor receptors, and kinases, making it a key regulator of cell motility and cytoskeletal remodeling. The Recombinant Paxillin antibody provides specific and reproducible detection of this protein across diverse experimental platforms.

Structurally, paxillin contains an N-terminal region rich in LD motifs that mediate interactions with focal adhesion kinases (FAK) and vinculin, as well as a C-terminal region containing LIM domains that target paxillin to focal adhesions. This modular design allows paxillin to act as a scaffold for assembling signaling complexes at sites of cell–matrix adhesion. Through these interactions, paxillin influences downstream pathways such as MAPK and PI3K/AKT, which regulate proliferation and survival. Dysregulation of paxillin expression or phosphorylation has been implicated in cancer progression, metastasis, and inflammatory diseases.

In immunofluorescence, the Recombinant Paxillin antibody produces characteristic punctate staining at focal adhesions, outlining adhesion complexes and cytoskeletal organization. In western blotting, it detects paxillin as distinct bands corresponding to phosphorylated and unphosphorylated isoforms, enabling analysis of signaling status. In immunohistochemistry, the antibody highlights paxillin expression in tissue sections, where it is particularly enriched at cell–matrix interfaces. Recombinant expression ensures high lot-to-lot consistency, reducing variability compared with hybridoma-derived antibodies.

The Recombinant Paxillin antibody is especially useful in cancer biology, where elevated paxillin expression and phosphorylation promote invasion and metastasis. It is also valuable in developmental biology, as paxillin regulates cell migration during embryogenesis, and in cardiovascular research, where it participates in mechanotransduction within vascular smooth muscle and endothelial cells. Synonym phrases such as recombinant PXN antibody, recombinant focal adhesion paxillin antibody, and recombinant cytoskeletal adaptor antibody expand discoverability for diverse research communities.

By providing validated and reproducible detection, the Recombinant Paxillin antibody supports investigations of adhesion dynamics, cytoskeletal remodeling, and signal transduction. NSJ Bioreagents ensures strict quality control for this reagent, giving researchers confidence in applications including western blotting, immunofluorescence, and immunohistochemistry. With its specificity for paxillin, the Recombinant Paxillin antibody is an indispensable tool for advancing research into cell adhesion, migration, and oncogenic signaling.

Application Notes

The stated application concentrations are suggested starting points. Titration of the recombinant Paxillin antibody may be required due to differences in protocols and secondary/substrate sensitivity.

Immunogen

A peptide corresponding to the N-terminus of human Paxillin was used as the immunogen for this recombinant Paxillin antibody.

Storage

Store the recombinant Paxillin antibody at -20oC (with glycerol) or aliquot and store at -20oC (without glycerol).

Cross
Bulk Quote Request Form
Name*:
Organization*:
Email*:
Phone Number*:
Catalog No.*:
Comments and Specifics(amount, formulation, etc.)*:
Validation code: Captchapackage Image


Can't read the image? click here to refresh.
    *required field

Your bulk quote request has been submitted successfully!

Please contact us if you have any questions.