• Tel: 858.663.9055
  • SeparatorEmail: info@nsjbio.com
  • Tel: 858.663.9055
  • Email: info@nsjbio.com
Home >> Antibodies >> Recombinant Pan Cytokeratin Antibody Cocktail

Recombinant Pan Cytokeratin Antibody Cocktail [clone Cocktail PCK/4933R] (V9361)

  Catalog No Formulation Size Price (USD)  
Image V9361-100UG 0.2 mg/ml in 1X PBS with 0.1 mg/ml BSA (US sourced), 0.05% sodium azide 100 ug 539
Image
V9361-20UG 0.2 mg/ml in 1X PBS with 0.1 mg/ml BSA (US sourced), 0.05% sodium azide 20 ug 249
Image
V9361SAF-100UG 1 mg/ml in 1X PBS; BSA free, sodium azide free 100 ug 539
Microvalidated Recrabbitmono
Bulk quote request
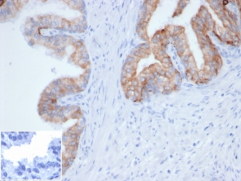
IHC staining of FFPE human prostate tissue with recombinant Pan Cytokeratin antibody (clone PCK/4933R). Negative control inset: PBS instead of primary antibody to control for secondary binding. HIER: boil tissue sections in pH 9 10mM Tris with 1mM EDTA for 20 min and allow to cool before testing.
Availability 1-3 business days
Species Reactivity Human
Format Purified
Clonality Recombinant Rabbit Monoclonal
Isotype Rabbit IgG
Clone Name Cocktail PCK/4933R
Purity Protein A/G affinity
Localization Cytoplasmic
Applications Immunohistochemistry (FFPE) : 1-2ug/ml
Limitations This recombinant Pan Cytokeratin antibody is available for research use only.
Review this product on BioCompare and get a $20 Amazon gift card

Related Products

Description

PCK/4933R demonstrates a broad spectrum of cytokeratin reactivity. In normal tissues, PCK/4933R is reactive with most epithelial types, including bile ducts and hepatocytes in liver, bladder epithelium, breast ducts, bronchial epithelium, endometrium, intestinal epithelium of stomach, duodenum, ileum, colon, rectum, pancreas, ovarian epithelium, pancreatic acini, pituitary acini, pneumocytes, prostate, thyroid, skin (positive on the basal layer and negative on the superficial layers of squamous epithelium), and apocrine and sweat glands. In tumors, PCK/4933R is reactive with most carcinomas, including breast, transitional cell (TCC), renal cell (RCC), lung adenocarcinoma, lung small cell, lung squamous cell, endometrial, prostate, ovarian, hepatocellular (HCC), colorectal CA, stomach and thyroid. It is negative in certain normal tissues, including brain, lymphocytes and all cells of hematolymphoid origin, muscle, brain, nerves, endothelium and in certain tumors including most melanomas, sarcomas, lymphomas, primitive neuroectodermal tumors (PNET)/Ewings and gastrointestinal stromal tumors (GIST). Positivity has been seen on some dendritic cells in lymph nodes, some endothelia, and some muscle cells.

Application Notes

Optimal dilution of the recombinant Pan Cytokeratin antibody should be determined by the researcher.

Immunogen

Crude cytokeratin extract prepared from RT-4 and MCF-7 cells was used as the immunogen for the recombinant Pan Cytokeratin antibody.

Storage

Aliquot the recombinant Pan Cytokeratin antibody and store frozen at -20oC or colder. Avoid repeated freeze-thaw cycles.

Cross
Bulk Quote Request Form
Name*:
Organization*:
Email*:
Phone Number*:
Catalog No.*:
Comments and Specifics(amount, formulation, etc.)*:
Validation code: Captchapackage Image


Can't read the image? click here to refresh.
    *required field

Your bulk quote request has been submitted successfully!

Please contact us if you have any questions.