- Tel: 858.663.9055
- 
									 Email: info@nsjbio.com Email: info@nsjbio.com
- Tel: 858.663.9055
- Email: info@nsjbio.com
 Email: info@nsjbio.com
Email: info@nsjbio.com
								Related Products
| 
 | 
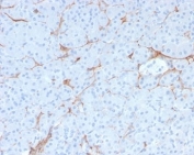
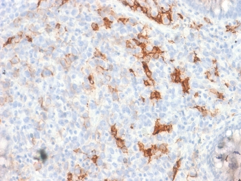
Recombinant p75NTR antibody is a valuable reagent for detecting the low affinity nerve growth factor receptor, also known as p75 neurotrophin receptor or NGFR. This receptor is a member of the tumor necrosis factor receptor superfamily and is widely expressed in the nervous system. p75NTR regulates neuronal growth, survival, and apoptosis by interacting with neurotrophins and their coreceptors. Because of its multifaceted functions, p75NTR is studied in developmental neurobiology, regeneration, and neurodegeneration.
Structurally, p75NTR contains extracellular cysteine rich domains that bind neurotrophins such as NGF, BDNF, and NT3. Depending on the context and binding partners, p75NTR can promote cell survival or trigger apoptosis. It often acts in coordination with Trk receptors to modulate neurotrophin signaling, but it can also function independently to regulate neuronal fate decisions. Dysregulation of p75NTR has been implicated in neurodegenerative diseases and injury responses.
The Recombinant p75NTR antibody clone NGFR/1997R ensures specific and consistent detection. Recombinant technology guarantees uniformity across batches, providing reproducible performance in experimental settings. Clone NGFR/1997R has been applied in studies of neuronal development, axonal regeneration, and injury induced cell death. Its specificity makes it an essential tool for clarifying the complex roles of p75NTR in the nervous system.
Research with clone NGFR/1997R has provided insights into how p75NTR signaling contributes to processes such as synaptic plasticity, myelination, and repair after nervous system injury. It has also been used to examine how altered receptor expression influences neurodegenerative disorders like Alzheimer disease and amyotrophic lateral sclerosis. This antibody continues to support both basic and translational neuroscience research.
NSJ Bioreagents supplies this Recombinant p75NTR antibody to support investigations in neurotrophin biology, neuronal regeneration, and disease. The protein is also known as NGFR antibody, low affinity NGF receptor antibody, neurotrophin receptor antibody, and CD271 antibody, reflecting the multiple names used in scientific literature.
Optimal dilution of the recombinant p75NTR antibody should be determined by the researcher.
1. The prediluted format is supplied in a dropper bottle and is optimized for use in IHC. After epitope retrieval step (if required), drip mAb solution onto the tissue section and incubate at RT for 30 min.
Recombinant human protein was used as the immunogen for the recombinant p75NTR antibody.
Store the recombinant p75NTR antibody at 2-8oC (with azide) or aliquot and store at -20oC or colder (without azide).
 
Your bulk quote request has been submitted successfully!
Please contact us if you have any questions.