• Tel: 858.663.9055
  • SeparatorEmail: info@nsjbio.com
  • Tel: 858.663.9055
  • Email: info@nsjbio.com
Home >> Antibodies >> Recombinant p21 Antibody / p21WAF1 / CDKN1A

Recombinant p21 Antibody / p21WAF1 / CDKN1A [clone CIP1/4377R] (V8615)

  Catalog No Formulation Size Price (USD)  
Image V8615-100UG 0.2 mg/ml in 1X PBS with 0.1 mg/ml BSA (US sourced) and 0.05% sodium azide 100 ug 539
Image
V8615-20UG 0.2 mg/ml in 1X PBS with 0.1 mg/ml BSA (US sourced) and 0.05% sodium azide 20 ug 249
Image
V8615SAF-100UG 1 mg/ml in 1X PBS; BSA free, sodium azide free 100 ug 539
Microvalidated Recrabbitmono
Bulk quote request
Analysis of HuProt(TM) microarray containing more than 19,000 full-length human proteins using p21 antibody. These results demonstrate the foremost specificity of the CIP1/4377R mAb. Z- and S- score: The Z-score represents the strength of a signal that an antibody (in combination with a fluorescently-tagged anti-IgG secondary Ab) produces when binding to a particular protein on the HuProt(TM) array. Z-scores are described in units of standard deviations (SD's) above the mean value of all signals generated on that array. If the targets on the HuProt(TM) are arranged in descending order of the Z-score, the S-score is the difference (also in units of SD's) between the Z-scores. The S-score therefore represents the relative target specificity of an Ab to its intended target.
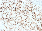
IHC staining of FFPE human lung carcinoma with recombinant p21 antibody (clone CIP1/4377R). HIER: boil tissue sections in pH 9 10mM Tris with 1mM EDTA for 20 min and allow to cool before testing.
IHC staining of FFPE human colon carcinoma with recombinant p21 antibody (clone CIP1/4377R). HIER: boil tissue sections in pH 9 10mM Tris with 1mM EDTA for 20 min and allow to cool before testing.
Negative control: IHC staining of FFPE human brain tissue with recombinant p21 antibody (clone CIP1/4377R). HIER: boil tissue sections in pH 9 10mM Tris with 1mM EDTA for 20 min and allow to cool before testing.
Western blot testing of human HeLa cell lysate with recombinant p21 antibody (clone CIP1/4377R).
Western blot testing of human HepG2 cell lysate with recombinant p21 antibody (clone CIP1/4377R).
SDS-PAGE analysis of purified, BSA-free recombinant p21 antibody (clone CIP1/4377R) as confirmation of integrity and purity.
Availability 1-3 business days
Species Reactivity Human
Format Purified
Clonality Recombinant Rabbit Monoclonal
Isotype Rabbit IgG
Clone Name CIP1/4377R
Purity Protein A affinity chromatography
UniProt P38936
Localization Nuclear
Applications Immunohistochemistry (FFPE) : 1-2ug/ml for 30 min at RT
Western Blot : 2-4ug/ml
Limitations This recombinant p21 antibody is available for research use only.
Review this product on BioCompare and get a $20 Amazon gift card

Related Products

Description

Recombinant p21 antibody detects cyclin-dependent kinase inhibitor 1A, encoded by the CDKN1A gene. Commonly referred to as p21, this protein is a universal inhibitor of cyclin-dependent kinases and a key mediator of cell cycle regulation. Because p21 integrates signals from p53 and other pathways to enforce growth arrest, Recombinant p21 antibody is essential in cancer biology, DNA damage research, and cell cycle studies.

p21 belongs to the CIP/KIP family of CDK inhibitors and functions by binding to cyclin-CDK complexes, preventing their activity and halting progression at the G1 and S phases. It is transcriptionally upregulated by p53 in response to DNA damage, linking stress responses to cell cycle control. Beyond its canonical role, p21 influences apoptosis, senescence, and transcriptional regulation, demonstrating its multifunctional nature.

The Recombinant p21 antibody clone CIP1/4377R provides specific and reproducible recognition of this regulator. Recombinant technology ensures lot-to-lot uniformity, critical for comparative studies. Clone CIP1/4377R has been cited in peer-reviewed research on p53 signaling, tumor suppression, and cell cycle checkpoints. It is suitable for applications including immunohistochemistry, Western blotting, and flow cytometry.

Research using clone CIP1/4377R has clarified how p21 functions both as a tumor suppressor and, in some contexts, as a survival factor that supports cancer progression. Its regulation by p53 links it directly to DNA damage responses, while its independent roles highlight its complexity in biology. The antibody has also been used to study cellular senescence, where p21 accumulation enforces a stable cell cycle arrest associated with aging and tumor suppression.

NSJ Bioreagents supplies this Recombinant p21 antibody to support studies in cancer biology, DNA damage response, and senescence. Alternate names include CDKN1A antibody, cyclin-dependent kinase inhibitor 1 antibody, WAF1 antibody, CIP1 antibody, cell cycle arrest protein antibody, and tumor suppressor protein antibody.

Application Notes

Optimal dilution of the recombinant p21 antibody should be determined by the researcher.

Immunogen

A portion of amino acids 1-100 from the human protein was used as the immunogen for the recombinant p21 antibody.

Storage

Store the recombinant p21 antibody at 2-8oC (with azide) or aliquot and store at -20oC or colder (without azide).

Cross
Bulk Quote Request Form
Name*:
Organization*:
Email*:
Phone Number*:
Catalog No.*:
Comments and Specifics(amount, formulation, etc.)*:
Validation code: Captchapackage Image


Can't read the image? click here to refresh.
    *required field

Your bulk quote request has been submitted successfully!

Please contact us if you have any questions.