• Tel: 858.663.9055
  • SeparatorEmail: info@nsjbio.com
  • Tel: 858.663.9055
  • Email: info@nsjbio.com
Home >> Antibodies >> Recombinant Ornithine Decarboxylase Antibody / ODC1

Recombinant Ornithine Decarboxylase Antibody / ODC1 [clone rODC1/487] (V9689)

  Catalog No Formulation Size Price (USD)  
Image V9689-100UG 0.2 mg/ml in 1X PBS with 0.1 mg/ml BSA (US sourced), 0.05% sodium azide 100 ug 539
Image
V9689-20UG 0.2 mg/ml in 1X PBS with 0.1 mg/ml BSA (US sourced), 0.05% sodium azide 20 ug 249
Image
V9689SAF-100UG 1 mg/ml in 1X PBS; BSA free, sodium azide free 100 ug 539
Microvalidated Recmousemono
Bulk quote request
Western blot analysis of human PC3 cell lysate using recombinant Ornithine Decarboxylase antibody (clone rODC1/487). Predicted molecular weight ~51 kDa.
SDS-PAGE analysis of purified, BSA-free recombinant Ornithine Decarboxylase antibody (clone rODC1/487) as confirmation of integrity and purity.
Availability 1-3 business days
Species Reactivity Human
Format Purified
Clonality Recombinant Mouse Monoclonal
Isotype Mouse IgG1, kappa
Clone Name rODC1/487
Purity Protein A/G affinity
UniProt P11926
Localization Cytoplasmic
Applications ELISA (order BSA-free Format For Coating) :
Western Blot : 1-2ug/ml
Limitations This recombinant Ornithine Decarboxylase antibody is available for research use only.
Review this product on BioCompare and get a $20 Amazon gift card

Related Products

Description

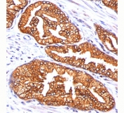
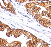
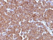
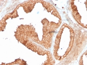
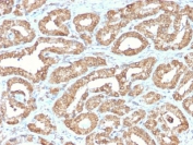
Recognizes a 51-53kDa protein, identified as the Ornithine Decarboxylase (ODC-1). ODC is the initial and rate-limiting enzyme in the biosynthetic pathway of polyamines and is involved in the conversion of ornithine to putrescine. The biological activity of ODC-1 is rapidly induced in response to virtually all agents known to promote cell proliferation including hormones, drugs, growth factors, mitogens, and tumor promoters. Reportedly, ODC mRNA levels are elevated in lung carcinomas as well as in colon adenomas and carcinomas. ODC activity in colorectal carcinomas is greater than those in adenomas and normal mucosa.

Application Notes

Optimal dilution of the recombinant Ornithine Decarboxylase antibody should be determined by the researcher.

Immunogen

Recombinant full-length human protein was used as the immunogen for the recombinant Ornithine Decarboxylase antibody.

Storage

Aliquot the recombinant Ornithine Decarboxylase antibody and store frozen at -20oC or colder. Avoid repeated freeze-thaw cycles.

Cross
Bulk Quote Request Form
Name*:
Organization*:
Email*:
Phone Number*:
Catalog No.*:
Comments and Specifics(amount, formulation, etc.)*:
Validation code: Captchapackage Image


Can't read the image? click here to refresh.
    *required field

Your bulk quote request has been submitted successfully!

Please contact us if you have any questions.