• Tel: 858.663.9055
  • SeparatorEmail: info@nsjbio.com
  • Tel: 858.663.9055
  • Email: info@nsjbio.com
Home >> Antibodies >> Recombinant NeuN Antibody / Fox3 / N-Terminal

Recombinant NeuN Antibody / Fox3 / N-Terminal [clone RM312] (R20331)

  Catalog No Formulation Size Price (USD)  
Image R20331-0.1ML Antibody in PBS with 50% glycerol, 1% BSA and 0.09% sodium azide 100 ul 429
Microvalidated Recrabbitmono
Bulk quote request
Western blot testing of human brain lysate with recombinant NeuN antibody at 1:1000 dilution. Expected molecular weight: 46-48 kDa (two isoforms may be visualized).
IHC testing of formalin fixed and paraffin embedded human brain tissue with recombinant NeuN antibody at 1:1000 dilution. HIER: steam section in pH6 citrate buffer for 20 min and allow to cool prior to staining.
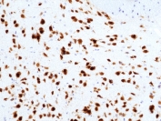
IHC testing of formalin fixed and paraffin embedded human brain tissue with recombinant NeuN antibody at 1:1000 dilution. HIER: steam section in pH6 citrate buffer for 20 min and allow to cool prior to staining.
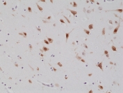
IHC testing of formalin fixed and paraffin embedded mouse brain tissue with recombinant NeuN antibody at 1:1000 dilution. HIER: steam section in pH6 citrate buffer for 20 min and allow to cool prior to staining.
Availability 1-3 business days
Species Reactivity Human, Mouse
Format Purified
Clonality Recombinant Rabbit Monoclonal
Isotype Rabbit IgG
Clone Name RM312
Purity Protein A purified from animal origin-free supernatant
UniProt A6NFN3
Localization Nuclear, cytoplasmic
Applications Immunohistochemistry (FFPE) : 1:500-1:1000
Western Blot : 1:1000-1:2000
Limitations This recombinant NeuN antibody is available for research use only.
Review this product on BioCompare and get a $20 Amazon gift card

Related Products

Description

RNA binding protein fox-1 homolog 3 (RBFOX3), also called Neuronal nuclei antigen and Fox-1 homolog C, is a pre-mRNA alternative splicing regulator. Regulates alternative splicing of RBFOX2 to enhance the production of mRNA species that are targeted for nonsense-mediated decay (NMD). [UniProt]

Application Notes

The stated application concentrations are suggested starting points. Titration of the recombinant NeuN antibody may be required due to differences in protocols and secondary/substrate sensitivity.

Immunogen

A peptide corresponding to the N-terminus of human NeuN/RBFOX3 was used as the immunogen for the recombinant NeuN antibody.

Storage

Store the recombinant NeuN antibody at -20oC.

Cross
Bulk Quote Request Form
Name*:
Organization*:
Email*:
Phone Number*:
Catalog No.*:
Comments and Specifics(amount, formulation, etc.)*:
Validation code: Captchapackage Image


Can't read the image? click here to refresh.
    *required field

Your bulk quote request has been submitted successfully!

Please contact us if you have any questions.