• Tel: 858.663.9055
  • SeparatorEmail: info@nsjbio.com
  • Tel: 858.663.9055
  • Email: info@nsjbio.com
Home >> Antibodies >> Recombinant Napsin A Antibody

Recombinant Napsin A Antibody [clone NAPSA/7043R] (V9131)

  Catalog No Formulation Size Price (USD)  
Image V9131-100UG 0.2 mg/ml in 1X PBS with 0.1 mg/ml BSA (US sourced), 0.05% sodium azide 100 ug 539
Image
V9131-20UG 0.2 mg/ml in 1X PBS with 0.1 mg/ml BSA (US sourced), 0.05% sodium azide 20 ug 249
Image
V9131SAF-100UG 1 mg/ml in 1X PBS; BSA free, sodium azide free 100 ug 539
Microvalidated Recrabbitmono
Bulk quote request
Western blot testing of human kidney tissue lysate with recombinant Napsin A antibody. Expected molecular weight: 38-45 kDa.
SDS-PAGE analysis of purified, BSA-free recombinant Napsin A antibody (NAPSA/7043R) as confirmation of integrity and purity.
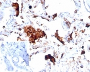
IHC staining of FFPE human lung tissue with recombinant Napsin A antibody (clone NAPSA/7043R). Negative control inset: PBS instead of primary antibody to control for secondary binding. HIER: boil tissue sections in pH 9 10mM Tris with 1mM EDTA for 20 min and allow to cool before testing.
Availability 1-3 business days
Species Reactivity Human
Format Purified
Clonality Recombinant Rabbit Monoclonal
Isotype Rabbit IgG, kappa
Clone Name NAPSA/7043R
Purity Protein A affinity
UniProt O96009
Localization Cytoplasm
Applications Immunohistochemistry (FFPE) : 1-2ug/ml
Western Blot : 2-4ug/ml
Limitations This recombinant Napsin A antibody is available for research use only.
Review this product on BioCompare and get a $20 Amazon gift card

Related Products

Description

Napsin is a pepsin-like aspartic proteinase connected with maturation of surfactant protein B. There are two closely related napsins, napsin A and napsin B. Napsin A is expressed as a single chain protein. Immunohistochemical studies revealed high expression levels of napsin A in human lung and kidney but low expression in spleen. Napsin A is expressed in type II pneumocytes and in adenocarcinomas of lung. The high specificity expression of napsin A in adenocarcinomas of lung is useful to distinguish primary lung adenocarcinomas from adenocarcinomas of other organs.

Application Notes

Optimal dilution of the recombinant Napsin A antibody should be determined by the researcher.

Immunogen

A portion of amino acids1-100 was used as the immunogen for the recombinant Napsin A antibody.

Storage

Aliquot the recombinant Napsin A antibody and store frozen at -20oC or colder. Avoid repeated freeze-thaw cycles.

Cross
Bulk Quote Request Form
Name*:
Organization*:
Email*:
Phone Number*:
Catalog No.*:
Comments and Specifics(amount, formulation, etc.)*:
Validation code: Captchapackage Image


Can't read the image? click here to refresh.
    *required field

Your bulk quote request has been submitted successfully!

Please contact us if you have any questions.