• Tel: 858.663.9055
  • SeparatorEmail: info@nsjbio.com
  • Tel: 858.663.9055
  • Email: info@nsjbio.com
Home >> Antibodies >> Recombinant N-Cadherin Antibody / Cadherin-2 / CDH2 / CD325

Recombinant N-Cadherin Antibody / Cadherin-2 / CDH2 / CD325 [clone CDH2/6857R] (V8888)

  Catalog No Formulation Size Price (USD)  
Image V8888-100UG 0.2 mg/ml in 1X PBS with 0.1 mg/ml BSA (US sourced), 0.05% sodium azide 100 ug 539
Image
V8888-20UG 0.2 mg/ml in 1X PBS with 0.1 mg/ml BSA (US sourced), 0.05% sodium azide 20 ug 249
Image
V8888SAF-100UG 1 mg/ml in 1X PBS; BSA free, sodium azide free 100 ug 539
Microvalidated Recrabbitmono
Bulk quote request
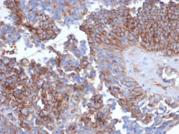
IHC staining of FFPE human ovarian carcinoma tissue with recombinant N-Cadherin antibody (clone CDH2/6857R). HIER: boil tissue sections in pH 9 10mM Tris with 1mM EDTA for 20 min and allow to cool before testing.
IHC staining of intercalated discs in FFPE human heart tissue with recombinant N-Cadherin antibody (clone CDH2/6857R). HIER: boil tissue sections in pH 9 10mM Tris with 1mM EDTA for 20 min and allow to cool before testing.
Western blot analysis of human heart tissue lysate using recombinant N-Cadherin antibody (clone CDH2/6857R). Predicted molecular weight ~100 kDa (unmodified), 125-140 kDa (modified).
Availability 1-3 business days
Species Reactivity Human
Format Purified
Clonality Recombinant Rabbit Monoclonal
Isotype Rabbit IgG
Clone Name CDH2/6857R
Purity Protein A/G affinity
UniProt P19022
Localization Cell surface
Applications Western Blot : 1-2ug/ml
Immunohistochemistry (FFPE) : 1-2ug/ml
Limitations This recombinant N-Cadherin antibody is available for research use only.
Review this product on BioCompare and get a $20 Amazon gift card

Related Products

Description

N-Cadherin/CDH2/Cadherin-2 acts as a regulator of neural stem cells quiescence by mediating anchorage of neural stem cells to ependymocytes in the adult subependymal zone: upon cleavage by MMP24, CDH2-mediated anchorage is affected, leading to modulate neural stem cell quiescence.

Application Notes

Optimal dilution of the recombinant N-Cadherin antibody should be determined by the researcher.

Immunogen

Recombinant full-length human CDH2 protein was used as the immunogen for the recombinant N-Cadherin antibody.

Storage

Aliquot the recombinant N-Cadherin antibody and store frozen at -20oC or colder. Avoid repeated freeze-thaw cycles.

Cross
Bulk Quote Request Form
Name*:
Organization*:
Email*:
Phone Number*:
Catalog No.*:
Comments and Specifics(amount, formulation, etc.)*:
Validation code: Captchapackage Image


Can't read the image? click here to refresh.
    *required field

Your bulk quote request has been submitted successfully!

Please contact us if you have any questions.