• Tel: 858.663.9055
  • SeparatorEmail: info@nsjbio.com
  • Tel: 858.663.9055
  • Email: info@nsjbio.com
Home >> Antibodies >> Recombinant Myosin 7 Antibody / MYH7

Recombinant Myosin 7 Antibody / MYH7 [clone MYH7/13050R] (V5768)

  Catalog No Formulation Size Price (USD)  
Image V5768-100UG 0.2 mg/ml in 1X PBS with 0.1 mg/ml BSA (US sourced), 0.05% sodium azide 100 ug 539
Image
V5768-20UG 0.2 mg/ml in 1X PBS with 0.1 mg/ml BSA (US sourced), 0.05% sodium azide 20 ug 249
Image
V5768SAF-100UG 1 mg/ml in 1X PBS; BSA free, sodium azide free 100 ug 539
Microvalidated Recrabbitmono
Bulk quote request
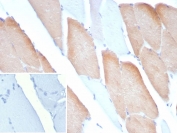
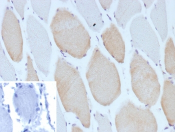
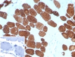
IHC staining of FFPE human skeletal muscle tissue with recombinant Myosin 7 antibody (clone MYH7/13050R). Inset: PBS used in place of primary Ab (secondary Ab negative control). HIER: boil tissue sections in pH 9 10mM Tris with 1mM EDTA for 20 min and allow to cool before testing.
SDS-PAGE analysis of purified, BSA-free recombinant Myosin 7 antibody (clone MYH7/13050R) as confirmation of integrity and purity.
Availability 1-3 business days
Species Reactivity Human
Format Purified
Clonality Recombinant Rabbit Monoclonal
Isotype Rabbit IgG, kappa
Clone Name MYH7/13050R
Purity Protein A affinity
UniProt P12883
Localization Cytoplasm
Applications Immunohistochemistry (FFPE) : 1-2ug/ml
Limitations This recombinant Myosin 7 antibody is available for research use only.
Review this product on BioCompare and get a $20 Amazon gift card

Related Products

Description

Myosin heavy chains are ubiquitous Actin-based motor proteins that convert the chemical energy derived from ATP hydrolysis into the mechanical energy that drives diverse motile processes in eukaryotic cells, including cytokinesis, vesicular transport and cellular locomotion. Muscle myosin is a heterohexamer consisting of two myosin heavy chains and two associated nonidentical pairs of myosin light chains. The seven myosin heavy chain isoforms that predominate in mammalian skeletal muscles include two developmental isoforms, MHC-embryonic (MYH3) and MHC-perinatal (MYH8); three adult skeletal muscle isoforms, MHC IIa (MYH2), MHC IIb (MYH4) and MHC IIx/d (MYH1); and MHC-β/slow (MYH7 or MHC-β), which is also expressed in cardiac muscle. Research indicates that mutations of the MYH7 gene causes hypertrophic cardiomyopathy.

Application Notes

Optimal dilution of the recombinant Myosin 7 antibody should be determined by the researcher.

Immunogen

A portion of amino acids 1150-1350 from human MYH7 protein was used as the immunogen for the recombinant Myosin 7 antibody.

Storage

Aliquot the recombinant Myosin 7 antibody and store frozen at -20oC or colder. Avoid repeated freeze-thaw cycles.

Cross
Bulk Quote Request Form
Name*:
Organization*:
Email*:
Phone Number*:
Catalog No.*:
Comments and Specifics(amount, formulation, etc.)*:
Validation code: Captchapackage Image


Can't read the image? click here to refresh.
    *required field

Your bulk quote request has been submitted successfully!

Please contact us if you have any questions.