• Tel: 858.663.9055
  • SeparatorEmail: info@nsjbio.com
  • Tel: 858.663.9055
  • Email: info@nsjbio.com
Home >> Antibodies >> Recombinant MYH11 Antibody / SMMHC / Smooth Muscle Myosin Heavy Chain

Recombinant MYH11 Antibody / SMMHC / Smooth Muscle Myosin Heavy Chain [clone MYH11/4337R] (V8803)

  Catalog No Formulation Size Price (USD)  
Image V8803-100UG 0.2 mg/ml in 1X PBS with 0.1 mg/ml BSA (US sourced), 0.05% sodium azide 100 ug 539
Image
V8803-20UG 0.2 mg/ml in 1X PBS with 0.1 mg/ml BSA (US sourced), 0.05% sodium azide 20 ug 249
Image
V8803SAF-100UG 1 mg/ml in 1X PBS; BSA free, sodium azide free 100 ug 539
Microvalidated Recrabbitmono
Bulk quote request
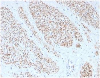
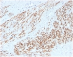
IHC staining of FFPE human leiomyosarcoma with recombinant MYH11 antibody (clone MYH11/4337R). HIER: boil tissue sections in pH 9 10mM Tris with 1mM EDTA for 20 min and allow to cool before testing.
IHC staining of FFPE human leiomyosarcoma tissue with recombinant MYH11 antibody (clone MYH11/4337R). HIER: boil tissue sections in pH 9 10mM Tris with 1mM EDTA for 20 min and allow to cool before testing.
Availability 1-3 business days
Species Reactivity Human
Format Purified
Clonality Recombinant Rabbit Monoclonal
Isotype Rabbit IgG, kappa
Clone Name MYH11/4337R
Purity Protein A/G affinity
UniProt P35749
Localization Cytoplasm
Applications Immunohistochemistry (FFPE) : 1-2ug/ml
Limitations This recombinant MYH11 antibody is available for research use only.
Review this product on BioCompare and get a $20 Amazon gift card

Related Products

Description

Smooth Muscle Myosin, heavy chain (also called SMM-HC Myosin 11 and MYH11) is a cytoplasmic structural protein that is a major component of the contractile apparatus of the smooth muscle cells. Expression of smooth muscle myosin is developmentally regulated, appearing early and is specific for smooth muscle development. SMMHC stains the intact myoepithelial cell (MEC) layers present in benign and in situ malignant breast and bronchioloalveolar lesions and is therefore very helpful in distinguishing between benign and malignant tumors. The antibody reacts with smooth muscle cells and myoepithelial cells, but not with myofibroblasts. It is very helpful in distinguishing between benign sclerosing breast lesions and infiltrating carcinomas in difficult cases since it strongly stains the myoepithelial layer in the benign lesions while it is negative in the infiltrating carcinomas.

Application Notes

Optimal dilution of the recombinant MYH11 antibody should be determined by the researcher.

Immunogen

A portion of amino acids 1-100 of Myosin protein was used as the immunogen for the recombinant MYH11 antibody.

Storage

Aliquot the recombinant MYH11 antibody and store frozen at -20oC or colder. Avoid repeated freeze-thaw cycles.

Cross
Bulk Quote Request Form
Name*:
Organization*:
Email*:
Phone Number*:
Catalog No.*:
Comments and Specifics(amount, formulation, etc.)*:
Validation code: Captchapackage Image


Can't read the image? click here to refresh.
    *required field

Your bulk quote request has been submitted successfully!

Please contact us if you have any questions.