• Tel: 858.663.9055
  • SeparatorEmail: info@nsjbio.com
  • Tel: 858.663.9055
  • Email: info@nsjbio.com
Home >> Antibodies >> Recombinant MVP Antibody / Major Vault Protein

Recombinant MVP Antibody / Major Vault Protein [clone VP2897R] (V7393)

  Catalog No Formulation Size Price (USD)  
Image V7393-100UG 0.2 mg/ml in 1X PBS with 0.1 mg/ml BSA (US sourced) and 0.05% sodium azide 100 ug 539
Image
V7393-20UG 0.2 mg/ml in 1X PBS with 0.1 mg/ml BSA (US sourced) and 0.05% sodium azide 20 ug 249
Image
V7393SAF-100UG 1 mg/ml in 1X PBS; BSA free, sodium azide free 100 ug 539
Image
V7393IHC-7ML Prediluted in 1X PBS with 0.1 mg/ml BSA (US sourced) and 0.05% sodium azide; *For IHC use only* 7 ml 539
Microvalidated Recrabbitmono
Bulk quote request
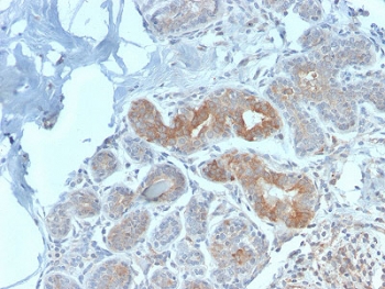
IHC staining of FFPE human breast carcinoma with recombinant MVP antibody (clone VP2897R). HIER: boil tissue sections in pH 9 10mM Tris with 1mM EDTA for 10-20 min and allow to cool before testing.
SDS-PAGE analysis of purified, BSA-free recombinant MVP antibody (clone VP2897R) as confirmation of integrity and purity.
Western blot testing of A549 cell lysate with Major Vault Protein antibody (clone VP2897R). Observed molecular weight: 104~110 kDa.
Availability 1-3 business days
Species Reactivity Human
Format Purified
Clonality Recombinant Rabbit Monoclonal
Isotype Rabbit IgG, kappa
Clone Name VP2897R
Purity Protein A affinity chromatography
UniProt Q14764
Localization Cytoplasmic, nuclear
Applications Immunohistochemistry (FFPE) : 1-2ug/ml for 30 min at RT
Western Blot : 2-4ug/ml
Limitations This recombinant MVP antibody is available for research use only.
Review this product on BioCompare and get a $20 Amazon gift card

Related Products

Description

Recognizes a protein of 104kDa-110kDa, characterized as major vault protein (MVP). Vaults are large ribonucleoprotein particles (RNPs) present in all eukaryotic cells. They have a complex morphology, including several small molecules of RNA, but a single protein species. The MVP accounts for >70% of their mass. Their shape is reminiscent of the nucleopore central plug. Treatment of cells with estradiol increases the amount of MVP in nuclear extract. The hormone-dependent interaction of vaults with ER is prevented in vitro by sodium molybdate. Antibodies to estrogen, progesterone and glucocorticoid receptors are able to co-immunoprecipitate the MVP. MVP is overexpressed in many neoplastic tissues and cell lines. Expression of MVP predicts a poor response to chemotherapy.

Application Notes

Optimal dilution of the recombinant MVP antibody should be determined by the researcher.

1. The prediluted format is supplied in a dropper bottle and is optimized for use in IHC. After epitope retrieval step (if required), drip mAb solution onto the tissue section and incubate at RT for 30 min.

Immunogen

Recombinant human protein was used as the immunogen for the recombinant MVP antibody.

Storage

Store the recombinant MVP antibody at 2-8oC (with azide) or aliquot and store at -20oC or colder (without azide).

Cross
Bulk Quote Request Form
Name*:
Organization*:
Email*:
Phone Number*:
Catalog No.*:
Comments and Specifics(amount, formulation, etc.)*:
Validation code: Captchapackage Image


Can't read the image? click here to refresh.
    *required field

Your bulk quote request has been submitted successfully!

Please contact us if you have any questions.