• Tel: 858.663.9055
  • SeparatorEmail: info@nsjbio.com
  • Tel: 858.663.9055
  • Email: info@nsjbio.com
Home >> Antibodies >> Recombinant Multi Cytokeratin Antibody / Rabbit Monoclonal

Recombinant Multi Cytokeratin Antibody / Rabbit Monoclonal [clone CTKNM-1R] (V3718)

  Catalog No Formulation Size Price (USD)  
Image V3718-100UG 0.2 mg/ml in 1X PBS with 0.1 mg/ml BSA (US sourced) and 0.05% sodium azide 100 ug 539
Image
V3718-20UG 0.2 mg/ml in 1X PBS with 0.1 mg/ml BSA (US sourced) and 0.05% sodium azide 20 ug 249
Image
V3718SAF-100UG 1 mg/ml in 1X PBS; BSA free, sodium azide free 100 ug 539
Image
V3718IHC-7ML Prediluted in 1X PBS with 0.1 mg/ml BSA (US sourced) and 0.05% sodium azide; *For IHC use only* 7 ml 539
Microvalidated Recrabbitmono
Bulk quote request
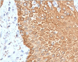
IHC staining of FFPE human skin with recombinant Multi Cytokeratin antibody (clone CTKNM-1R). HIER: boil tissue sections in 10mM citrate buffer, pH 6, for 10-20 min followed by cooling at RT for 20 min.
Availability 1-3 business days
Species Reactivity Human
Format Purified
Clonality Recombinant Rabbit Monoclonal
Isotype Rabbit IgG, kappa
Clone Name CTKNM-1R
Purity Protein A affinity chromatography
Localization Cytoplasmic
Applications Immunofluorescence : 1-2ug/ml
Immunohistochemistry (FFPE) : 1-2ug/ml for 30 min at RT
Prediluted IHC Only Format : incubate for 30 min at RT (1)
Limitations This recombinant Multi Cytokeratin antibody is available for research use only.
Review this product on BioCompare and get a $20 Amazon gift card

Related Products

Description

Twenty human keratins are resolved with two-dimensional gel electrophoresis into acidic (pI 6.0) subfamilies. This mAb recognizes acidic (Type I or LMW) and basic (Type II or HMW) cytokeratins, including 59kDa (CK4); 58kDa (CK5); 56kDa (CK6); 52kDa (CK8); 56.5kDa (CK10); 53kDa (CK13) and 45kDa (CK18). This is a broad-spectrum mAb which has been reported to differentiate epithelial tumors from non-epithelial tumors. Many studies have shown the usefulness of keratins as markers in cancer research and tumor diagnosis.

Application Notes

Optimal dilution of the recombinant Multi Cytokeratin antibody should be determined by the researcher.

1.The prediluted format is supplied in a dropper bottle and is optimized for use in IHC. After epitope retrieval step (if required), drip mAb solution onto the tissue section and incubate at RT for 30 min.

Immunogen

Human epithelial cell keratin was used as the immunogen for the recombinant Multi Cytokeratin antibody.

Storage

Store the recombinant Multi Cytokeratin antibody at 2-8oC (with azide) or aliquot and store at -20oC or colder (without azide).

Cross
Bulk Quote Request Form
Name*:
Organization*:
Email*:
Phone Number*:
Catalog No.*:
Comments and Specifics(amount, formulation, etc.)*:
Validation code: Captchapackage Image


Can't read the image? click here to refresh.
    *required field

Your bulk quote request has been submitted successfully!

Please contact us if you have any questions.