• Tel: 858.663.9055
  • SeparatorEmail: info@nsjbio.com
  • Tel: 858.663.9055
  • Email: info@nsjbio.com
Home >> Antibodies >> Recombinant Mucin 6 Antibody / MUC6 / Gastric Mucin

Recombinant Mucin 6 Antibody / MUC6 / Gastric Mucin [clone MUC6/7069R] (V8924)

  Catalog No Formulation Size Price (USD)  
Image V8924-100UG 0.2 mg/ml in 1X PBS with 0.1 mg/ml BSA (US sourced), 0.05% sodium azide 100 ug 539
Image
V8924-20UG 0.2 mg/ml in 1X PBS with 0.1 mg/ml BSA (US sourced), 0.05% sodium azide 20 ug 249
Image
V8924SAF-100UG 1 mg/ml in 1X PBS; BSA free, sodium azide free 100 ug 539
Microvalidated Recrabbitmono
Bulk quote request
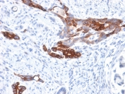
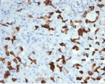
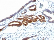
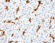
IHC staining of FFPE human salivary gland with recombinant Mucin 6 antibody (clone MUC6/7069R). HIER: boil tissue sections in pH 9 10mM Tris with 1mM EDTA for 20 min and allow to cool before testing.
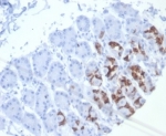
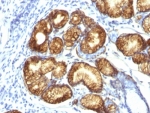
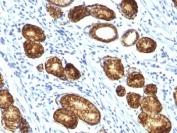
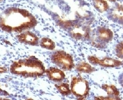
IHC staining of FFPE human stomach tissue with recombinant Mucin 6 antibody (clone MUC6/7069R). HIER: boil tissue sections in pH 9 10mM Tris with 1mM EDTA for 20 min and allow to cool before testing.
Availability 1-3 business days
Species Reactivity Human
Format Purified
Clonality Recombinant Rabbit Monoclonal
Isotype Rabbit IgG, kappa
Clone Name MUC6/7069R
Purity Protein A/G affinity
UniProt Q6W4X9
Localization Cytoplasm, Secreted
Applications Immunohistochemistry (FFPE) : 1-2ug/ml
Limitations This recombinant Mucin 6 antibody is available for research use only.
Review this product on BioCompare and get a $20 Amazon gift card

Related Products

Description

Mucin 6 is a secretory mucin, located in the deeper mucosal folds of human gall bladder, and its expression is altered with increasing degrees of inflammation.

Application Notes

Optimal dilution of the recombinant Mucin 6 antibody should be determined by the researcher.

Immunogen

Recombinant human recombinant Mucin 6 protein was used as the immunogen for the MUC6 antibody.

Storage

Aliquot the recombinant Mucin 6 antibody and store frozen at -20oC or colder. Avoid repeated freeze-thaw cycles.

Cross
Bulk Quote Request Form
Name*:
Organization*:
Email*:
Phone Number*:
Catalog No.*:
Comments and Specifics(amount, formulation, etc.)*:
Validation code: Captchapackage Image


Can't read the image? click here to refresh.
    *required field

Your bulk quote request has been submitted successfully!

Please contact us if you have any questions.