• Tel: 858.663.9055
  • SeparatorEmail: info@nsjbio.com
  • Tel: 858.663.9055
  • Email: info@nsjbio.com
Home >> Antibodies >> Recombinant Mucin-1 Antibody / Rabbit Monoclonal

Recombinant Mucin-1 Antibody / Rabbit Monoclonal [clone MUC1/2818R] (V7311)

  Catalog No Formulation Size Price (USD)  
Image V7311-100UG 0.2 mg/ml in 1X PBS with 0.1 mg/ml BSA (US sourced) and 0.05% sodium azide 100 ug 539
Image
V7311-20UG 0.2 mg/ml in 1X PBS with 0.1 mg/ml BSA (US sourced) and 0.05% sodium azide 20 ug 249
Image
V7311SAF-100UG 1 mg/ml in 1X PBS; BSA free, sodium azide free 100 ug 539
Image
V7311IHC-7ML Prediluted in 1X PBS with 0.1 mg/ml BSA (US sourced) and 0.05% sodium azide; *For IHC use only* 7 ml 539
Microvalidated Recrabbitmono
Bulk quote request
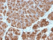
IHC testing of FFPE human colon with recombinant Mucin-1 antibody (clone MUC1/2818R). Required HIER: boil tissue sections in pH 9 10mM Tris with 1mM EDTA for 10-20 min followed by cooling at RT for 20 min.
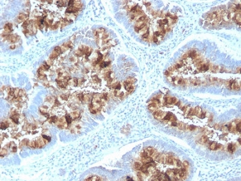
IHC testing of FFPE human stomach carcinoma with recombinant Mucin-1 antibody (clone MUC1/2818R). Required HIER: boil tissue sections in pH 9 10mM Tris with 1mM EDTA for 10-20 min followed by cooling at RT for 20 min.
SDS-PAGE analysis of purified, BSA-free recombinant Mucin-1 antibody (clone MUC1/2818R) as confirmation of integrity and purity.
Western blot testing of human MCF7 cell lysate with recombinant Mucin-1 antibody (clone MUC1/2818R). This glycoprotein is commonly visualized between 120~500 kDa.
Species Reactivity Human
Format Purified
Clonality Recombinant Rabbit Monoclonal
Isotype Rabbit IgG, kappa
Clone Name MUC1/2818R
Purity Protein A affinity chromatography
UniProt P15941
Gene ID 4582
Localization Cytoplasmic and cell surface
Applications ELISA : 2-5ug/ml (order BSA/sodium azide-free format)
Immunohistochemistry (FFPE) : 0.25-0.5ug/ml for 30 min at RT
Western Blot : 1-2ug/ml
Limitations This recombinant Mucin-1 antibody is available for research use only.
Review this product on BioCompare and get a $20 Amazon gift card

Related Products

Description

MUC1 is a large cell surface mucin glycoprotein expressed by most glandular and ductal epithelial cells and some hematopoietic cell lineages. It is expressed on most secretory epithelium, including mammary gland and some hematopoietic cells. It is expressed abundantly in lactating mammary glands and over expressed abundantly in >90% breast carcinomas and metastases. Transgenic MUC1 has been shown to associate with all four c-erbB receptors and localize with c-erbB1 (EGFR) in lactating glands. The MUC1 gene contains seven exons and produces several different alternatively spliced variants. The major expressed form of MUC1 uses all seven exons and is a type 1 transmembrane protein with a large extracellular tandem repeat domain. The tandem repeat domain is highly O glycosylated and alterations in glycosylation have been shown in epithelial cancer cells. Antibody to MUC1 is useful as a pan-epithelial marker for detecting early metastatic loci of carcinoma in bone marrow or liver.

Application Notes

Titration of the recombinant Mucin-1 may be required due to differences in protocols and secondary/substrate sensitivity.

1. The prediluted format is supplied in a dropper bottle and is optimized for use in IHC. After epitope retrieval step (if required), drip mAb solution onto the tissue section and incubate at RT for 30 min.

Immunogen

Human milk fat globule membranes were used as the immunogen for this recombinant Mucin-1 antibody.

Storage

Store the recombinant Mucin-1 antibody at 2-8oC (with azide) or aliquot and store at -20oC or colder (without azide).

Cross
Bulk Quote Request Form
Name*:
Organization*:
Email*:
Phone Number*:
Catalog No.*:
Comments and Specifics(amount, formulation, etc.)*:
Validation code: Captchapackage Image


Can't read the image? click here to refresh.
    *required field

Your bulk quote request has been submitted successfully!

Please contact us if you have any questions.