• Tel: 858.663.9055
  • SeparatorEmail: info@nsjbio.com
  • Tel: 858.663.9055
  • Email: info@nsjbio.com
Home >> Antibodies >> Recombinant Mucin-1 Antibody / Rabbit Monoclonal

Recombinant Mucin-1 Antibody / Rabbit Monoclonal [clone MUC1/1887R] (V3740)

  Catalog No Formulation Size Price (USD)  
Image V3740-100UG 0.2 mg/ml in 1X PBS with 0.1 mg/ml BSA (US sourced) and 0.05% sodium azide 100 ug 539
Image
V3740-20UG 0.2 mg/ml in 1X PBS with 0.1 mg/ml BSA (US sourced) and 0.05% sodium azide 20 ug 249
Image
V3740SAF-100UG 1 mg/ml in 1X PBS; BSA free, sodium azide free 100 ug 539
Image
V3740IHC-7ML Prediluted in 1X PBS with 0.1 mg/ml BSA (US sourced) and 0.05% sodium azide; *For IHC use only* 7 ml 539
Microvalidated Recrabbitmono
Bulk quote request
Western blot testing of human MCF7 cell lysate with recombinant Mucin-1 antibody (clone MUC1/1887R). This glycoprotein is commonly visualized between 120~500 kDa.
SDS-PAGE analysis of purified, BSA-free recombinant Mucin-1 antibody (clone MUC1/1887R) as confirmation of integrity and purity.
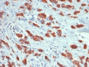
IHC testing of FFPE human breast carcinoma with recombinant Mucin-1 antibody (clone MUC1/1887R). Required HIER: boil tissue sections in pH 9 10mM Tris with 1mM EDTA for 10-20 min followed by cooling at RT for 20 min.
Species Reactivity Human
Format Purified
Clonality Recombinant Rabbit Monoclonal
Isotype Rabbit IgG, kappa
Clone Name MUC1/1887R
Purity Protein A affinity chromatography
UniProt P15941
Gene ID 4582
Localization Cytoplasmic and cell surface
Applications Immunohistochemistry (FFPE) : 1-2ug/ml for 30 min at RT
Western Blot : 1-2ug/ml
Limitations This recombinant Mucin-1 antibody is available for research use only.
Review this product on BioCompare and get a $20 Amazon gift card

Related Products

Description

Mucin-1/MUC1 protein is encoded by the MUC1 gene in humans. This gene encodes a membrane-bound protein that is a member of the mucin family. Family members are O-glycosylated proteins that play an essential role in forming protective mucous barriers on epithelial surfaces. MUC1 is a transmembrane protein normally expressed on the apical borders of secretory epithelial cells. Overexpression is often associated with colon, breast, ovarian, lung and pancreatic cancers. The dominant epitope of this MAb involves both amino acids as well as sugar moieties. Its epitope is destroyed by desialylation i.e. treatment with Neuraminidase.

Application Notes

The concentration stated for each application is a general starting point. Variations in protocols, secondaries and substrates may require the recombinant Mucin-1 antibody to be titered up or down for optimal performance.

1. The prediluted format is supplied in a dropper bottle and is optimized for use in IHC. After epitope retrieval step (if required), drip mAb solution onto the tissue section and incubate at RT for 30 min.

Immunogen

Human milk fat globule membranes were used as the immunogen for this recombinant Mucin-1 antibody.

Storage

Store the recombinant Mucin-1 antibody at 2-8oC (with azide) or aliquot and store at -20oC or colder (without azide).

Cross
Bulk Quote Request Form
Name*:
Organization*:
Email*:
Phone Number*:
Catalog No.*:
Comments and Specifics(amount, formulation, etc.)*:
Validation code: Captchapackage Image


Can't read the image? click here to refresh.
    *required field

Your bulk quote request has been submitted successfully!

Please contact us if you have any questions.