• Tel: 858.663.9055
  • SeparatorEmail: info@nsjbio.com
  • Tel: 858.663.9055
  • Email: info@nsjbio.com
Home >> Antibodies >> Recombinant Mucin-1 Antibody / MUC1

Recombinant Mucin-1 Antibody / MUC1 [clone MUC1/4416R] (V9266)

  Catalog No Formulation Size Price (USD)  
Image V9266-100UG 0.2 mg/ml in 1X PBS with 0.1 mg/ml BSA (US sourced), 0.05% sodium azide 100 ug 539
Image
V9266-20UG 0.2 mg/ml in 1X PBS with 0.1 mg/ml BSA (US sourced), 0.05% sodium azide 20 ug 249
Image
V9266SAF-100UG 1 mg/ml in 1X PBS; BSA free, sodium azide free 100 ug 539
Microvalidated Recrabbitmono
Bulk quote request
Western blot testing of human MCF-7 cell lysate using recombinant Mucin-1 antibody (clone MUC1/4416R). This glycoprotein is commonly visualized between 120~500 kDa.
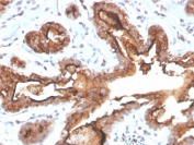
IHC staining of FFPE human breast carcinoma tissue with recombinant Mucin-1 antibody (clone MUC1/4416R). HIER: boil tissue sections in pH 9 10mM Tris with 1mM EDTA for 20 min and allow to cool before testing.
IHC staining of FFPE human breast carcinoma tissue with recombinant Mucin-1 antibody (clone MUC1/4416R). HIER: boil tissue sections in pH 9 10mM Tris with 1mM EDTA for 20 min and allow to cool before testing.
SDS-PAGE analysis of purified, BSA-free recombinant Mucin-1 antibody (clone MUC1/4416R) as confirmation of integrity and purity.
Western blot testing of human T-47D cell lysate with recombinant Mucin-1 antibody (clone MUC1/4416R). This glycoprotein is commonly visualized between 120~500 kDa.
Availability 1-3 business days
Species Reactivity Human
Format Purified
Clonality Recombinant Rabbit Monoclonal
Isotype Rabbit IgG
Clone Name MUC1/4416R
Purity Protein A/G affinity
UniProt P15941
Localization Cytoplasmic, Cell Surface
Applications Western Blot : 1-2ug/ml
Immunohistochemistry (FFPE) : 1-2ug/ml
Limitations This recombinant Mucin-1 antibody is available for research use only.
Review this product on BioCompare and get a $20 Amazon gift card

Related Products

Description

Mucin-1 may provide a protective layer on epithelial cells against bacterial and enzyme attack. In immunohistochemical assays, it superbly stains routine formalin/paraffin carcinomas. Anti-Mucin-1 antibody is a useful marker for staining many carcinomas. It stains normal and neoplastic cells from various tissues, including mammary epithelium, sweat glands and colorectal carcinoma. Hepatocellular carcinoma, adrenal carcinoma and embryonal carcinomas are consistently Mucin-1 negative, so keratin positivity with negative Mucin-1 favors one of these tumors. Mucin-1 is frequently positive in meningioma, which can be useful when distinguishing it from other intracranial neoplasms such as schwannomas. Antibody to Mucin-1 is useful as a pan-epithelial marker for detecting early metastatic loci of carcinoma in bone marrow or liver.

Application Notes

Optimal dilution of the recombinant Mucin-1 antibody should be determined by the researcher.

Immunogen

Recombinant full-length human MUC1 protein was used as the immunogen for the recombinant Mucin-1 antibody.

Storage

Aliquot the recombinant Mucin-1 antibody and store frozen at -20oC or colder. Avoid repeated freeze-thaw cycles.

Cross
Bulk Quote Request Form
Name*:
Organization*:
Email*:
Phone Number*:
Catalog No.*:
Comments and Specifics(amount, formulation, etc.)*:
Validation code: Captchapackage Image


Can't read the image? click here to refresh.
    *required field

Your bulk quote request has been submitted successfully!

Please contact us if you have any questions.