• Tel: 858.663.9055
  • SeparatorEmail: info@nsjbio.com
  • Tel: 858.663.9055
  • Email: info@nsjbio.com
Home >> Antibodies >> Recombinant MUC5AC Antibody

Recombinant MUC5AC Antibody [clone rMUC5AC/3779] (V7969)

  Catalog No Formulation Size Price (USD)  
Image V7969-100UG 0.2 mg/ml in 1X PBS with 0.1 mg/ml BSA (US sourced) and 0.05% sodium azide 100 ug 539
Image
V7969-20UG 0.2 mg/ml in 1X PBS with 0.1 mg/ml BSA (US sourced) and 0.05% sodium azide 20 ug 249
Image
V7969SAF-100UG 1 mg/ml in 1X PBS; BSA free, sodium azide free 100 ug 539
Microvalidated Recmousemono
Bulk quote request
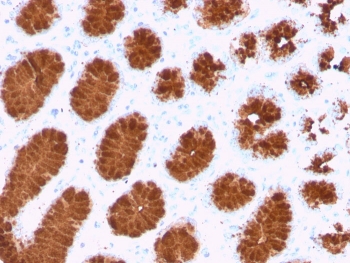
IHC staining of FFPE human colon with recombinant MUC5AC antibody (clone rMUC5AC/3779). HIER: boil tissue sections in pH 9 10mM Tris with 1mM EDTA for 20 min and allow to cool before testing.
SDS-PAGE analysis of purified, BSA-free recombinant MUC5AC antibody (clone rMUC5AC/3779) as confirmation of integrity and purity.
Availability 1-3 business days
Species Reactivity Human
Format Purified
Clonality Recombinant Mouse Monoclonal
Isotype Mouse IgG1, kappa
Clone Name rMUC5AC/3779
Purity Protein G affinity chromatography
UniProt P98088
Localization Cytoplasmic
Applications Immunohistochemistry (FFPE) : 1-2ug/ml
Limitations This recombinant MUC5AC antibody is available for research use only.
Review this product on BioCompare and get a $20 Amazon gift card

Related Products

Description

This MAb recognizes the peptide core of gastric mucin M1 (recently identified as Mucin 5AC).Its epitope is located in the C-terminal cysteine rich part of the peptide core of MUC5AC. Its epitope is destroyed by beta-mercaptoethanol but not by periodate treatment. This mucin is present in primary ovarian mucinous cancer but usually absent in colorectal adenocarcinoma, thus showing an expression pattern opposite to MUC2. Together with a panel of antibodies, Anti-MUC5AC may be useful for differential identification of primary mucinous ovarian tumors from colon adenocarcinoma metastatic to the ovary. MUC5AC antibodies may also be useful for identification of intestinal metaplasia as well as in the identification of pancreatic carcinoma and pre-cancerous changes vs. normal pancreas.

Application Notes

Optimal dilution of the recombinant MUC5AC antibody should be determined by the researcher.

Immunogen

Recombinant full-length human MUC5AC protein was used as the immunogen for this recombinant MUC5AC antibody.

Storage

Store the recombinant MUC5AC antibody at 2-8oC (with azide) or aliquot and store at -20oC or colder (without azide).

Cross
Bulk Quote Request Form
Name*:
Organization*:
Email*:
Phone Number*:
Catalog No.*:
Comments and Specifics(amount, formulation, etc.)*:
Validation code: Captchapackage Image


Can't read the image? click here to refresh.
    *required field

Your bulk quote request has been submitted successfully!

Please contact us if you have any questions.