• Tel: 858.663.9055
  • SeparatorEmail: info@nsjbio.com
  • Tel: 858.663.9055
  • Email: info@nsjbio.com
Home >> Antibodies >> Recombinant MUC1 Antibody / Mucin 1 / EMA

Recombinant MUC1 Antibody / Mucin 1 / EMA [clone r115D8] (V5491)

  Catalog No Formulation Size Price (USD)  
Image V5491-100UG 0.2 mg/ml in 1X PBS with 0.1 mg/ml BSA (US sourced), 0.05% sodium azide 100 ug 539
Image
V5491-20UG 0.2 mg/ml in 1X PBS with 0.1 mg/ml BSA (US sourced), 0.05% sodium azide 20 ug 249
Image
V5491SAF-100UG 1 mg/ml in 1X PBS; BSA free, sodium azide free 100 ug 539
Microvalidated Recmousemono
Bulk quote request
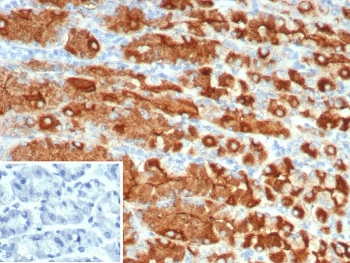
IHC staining of FFPE human stomach tissue with recombinant MUC1 antibody (clone r115D8). Inset: PBS used in place of primary Ab (secondary Ab negative control). HIER: boil tissue sections in pH 9 10mM Tris with 1mM EDTA for 20 min and allow to cool before testing.
SDS-PAGE analysis of purified, BSA-free recombinant MUC1 antibody (clone r115D8) as confirmation of integrity and purity.
Availability 1-3 business days
Species Reactivity Human
Format Purified
Clonality Recombinant Mouse Monoclonal
Isotype Mouse IgG2b, kappa
Clone Name r115D8
Purity Protein A/G affinity
UniProt P15941
Localization Cytoplasm, Cell membrane
Applications Immunohistochemistry (FFPE) : 1-2ug/ml
Limitations This recombinant MUC1 antibody is available for research use only.
Review this product on BioCompare and get a $20 Amazon gift card

Related Products

Description

In Western blotting, it recognizes proteins in MW range of 265-400kDa, identified as different glycoforms of EMA/Mucin 1. The alpha subunit has cell adhesive properties. It can act both as an adhesion and an anti-adhesion protein. Mucin 1 may provide a protective layer on epithelial cells against bacterial and enzyme attack. The beta subunit contains a C-terminal domain, which is involved in cell signaling, through phosphorylations and protein-protein interactions. In immunohistochemical assays, it superbly stains routine formalin/paraffin carcinoma tissues. Antibody to EMA/Mucin 1 is useful as a pan-epithelial marker for detecting early metastatic loci of carcinoma in bone marrow or liver.

Application Notes

Optimal dilution of the recombinant MUC1 antibody should be determined by the researcher.

Immunogen

Recombinant full-length human Mucin 1 protein was used as the immunogen for the recombinant MUC1 antibody.

Storage

Aliquot the recombinant MUC1 antibody and store frozen at -20oC or colder. Avoid repeated freeze-thaw cycles.

Cross
Bulk Quote Request Form
Name*:
Organization*:
Email*:
Phone Number*:
Catalog No.*:
Comments and Specifics(amount, formulation, etc.)*:
Validation code: Captchapackage Image


Can't read the image? click here to refresh.
    *required field

Your bulk quote request has been submitted successfully!

Please contact us if you have any questions.