• Tel: 858.663.9055
  • SeparatorEmail: info@nsjbio.com
  • Tel: 858.663.9055
  • Email: info@nsjbio.com
Home >> Antibodies >> Recombinant MUC-1 Antibody

Recombinant MUC-1 Antibody [clone rMUC1/960] (V3744)

  Catalog No Formulation Size Price (USD)  
Image V3744-100UG 0.2 mg/ml in 1X PBS with 0.1 mg/ml BSA (US sourced) and 0.05% sodium azide 100 ug 539
Image
V3744-20UG 0.2 mg/ml in 1X PBS with 0.1 mg/ml BSA (US sourced) and 0.05% sodium azide 20 ug 249
Image
V3744SAF-100UG 1 mg/ml in 1X PBS; BSA free, sodium azide free 100 ug 539
Image
V3744IHC-7ML Prediluted in 1X PBS with 0.1 mg/ml BSA (US sourced) and 0.05% sodium azide; *For IHC use only* 7 ml 539
Microvalidated Recmousemono
Bulk quote request
Western blot testing of human MCF7 cell lysate with recombinant MUC-1 antibody (clone rMUC1/960). This glycoprotein is commonly visualized between 120~500 kDa.
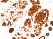
IHC testing of FFPE human ovarian carcinoma with recombinant MUC-1 antibody (clone rMUC1/960). Required HIER: boil sections in pH 9 10mM Tris with 1mM EDTA for 10-20 min.
SDS-PAGE analysis of purified, BSA-free recombinant MUC-1 antibody (clone rMUC1/960) as confirmation of integrity and purity.
Species Reactivity Human
Format Purified
Clonality Recombinant Mouse Monoclonal
Isotype Mouse IgG2b, kappa
Clone Name rMUC1/960
Purity Protein G affinity chromatography
UniProt P15941
Gene ID 4582
Localization Cytoplasmic and cell surface
Applications Immunohistochemistry (FFPE Only; Not Suitable For Frozen Tissues) : 1-2ug/ml for 30 min at RT
Western Blot : 1-2ug/ml
Limitations This recombinant MUC-1 antibody is available for research use only.
Review this product on BioCompare and get a $20 Amazon gift card

Related Products

Description

This mAb reacts with MUC1, a large transmembrane glycoprotein expressed on the ductal surface of normal glandular epithelia. The dominant epitope of this MAb involves both amino acids as well as sugar moieties. Neuraminidase treatment destroys the antigen. It is a very good tracer agent in CA15.3 assays. The extracellular domain of MUC1 largely consists of a highly conserved, O-glycosylated 20 amino acids tandem repeat which can occur 30-100 times per molecule depending on the length of the allele involved. In the vast majority of human carcinomas this protein is up-regulated and poorly glycosylated and appears on the cell surface in a non-polarized fashion.

Application Notes

The concentration stated for each application is a general starting point. Variations in protocols, secondaries and substrates may require the recombinant MUC-1 antibody to be titered up or down for optimal performance.

1. The prediluted format is supplied in a dropper bottle and is optimized for use in IHC. After epitope retrieval step (if required), drip mAb solution onto the tissue section and incubate at RT for 30 min.

Immunogen

Human milk fat globule membranes were used as the immunogen for this recombinant MUC-1 antibody.

Storage

Store the recombinant MUC-1 antibody at 2-8oC (with azide) or aliquot and store at -20oC or colder (without azide).

Cross
Bulk Quote Request Form
Name*:
Organization*:
Email*:
Phone Number*:
Catalog No.*:
Comments and Specifics(amount, formulation, etc.)*:
Validation code: Captchapackage Image


Can't read the image? click here to refresh.
    *required field

Your bulk quote request has been submitted successfully!

Please contact us if you have any questions.