• Tel: 858.663.9055
  • SeparatorEmail: info@nsjbio.com
  • Tel: 858.663.9055
  • Email: info@nsjbio.com
Home >> Antibodies >> Recombinant MMP3 Antibody / Rabbit Monoclonal

Recombinant MMP3 Antibody / Rabbit Monoclonal [clone MMP3/1994R] (V3641)

  Catalog No Formulation Size Price (USD)  
Image V3641-100UG 0.2 mg/ml in 1X PBS with 0.1 mg/ml BSA (US sourced) and 0.05% sodium azide 100 ug 539
Image
V3641-20UG 0.2 mg/ml in 1X PBS with 0.1 mg/ml BSA (US sourced) and 0.05% sodium azide 20 ug 249
Image
V3641SAF-100UG 1 mg/ml in 1X PBS; BSA free, sodium azide free 100 ug 539
Microvalidated Recrabbitmono
Bulk quote request
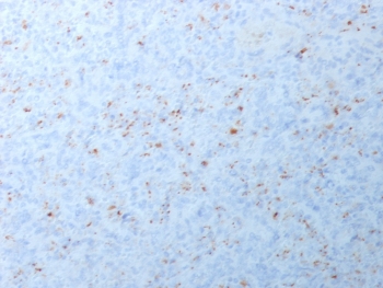
IHC testing of FFPE human spleen with recombinant MMP3 antibody (clone MMP3/1994R). Required HIER: boil tissue sections in pH6, 10mM citrate buffer, for 10-20 min followed by cooling at RT for 20 min.
SDS-PAGE analysis of purified, BSA-free recombinant MMP3 antibody (clone MMP3/1994R) as confirmation of integrity and purity.
Availability 1-3 business days
Species Reactivity Human
Format Purified
Clonality Recombinant Rabbit Monoclonal
Isotype Rabbit IgG, kappa
Clone Name MMP3/1994R
Purity Protein A affinity chromatography
UniProt P08254
Localization Cytoplasmic, secreted
Applications ELISA (order BSA/sodium Azide-free Format For Coating) :
Flow Cytometry : 1-2ug/10^6 cells
Western Blot : 0.5-1ug/ml
Limitations This recombinant MMP3 antibody is available for research use only.
Review this product on BioCompare and get a $20 Amazon gift card

Related Products

Description

The matrix metalloproteinases (MMP) are a family of peptidase enzymes responsible for the degradation of extracellular matrix components, including collagen, gelatin, fibronectin, laminin and proteoglycan. Transcription of MMP genes is differentially activated by phorbol ester, lipopolysaccharide (LPS) or staphylococcal enterotoxin B (SEB). MMP catalysis requires both calcium and zinc. MMP3, MMP10 and MMP11 (also designated stromelysin-1, 2 and 3, respectively) activate procollagenase. MMP3 activation of procollagenase can occur via two pathways. Direct activation by MMP3 is slow and activation by MMP3 in conjunction with tissue or plasma proteinases is rapid. MMP10 is expressed in small intestine, and at lower levels in lung and heart. MMP11 is specifically expressed in stromal cells of breast carcinomas and contributes to epithelial cell malignancies.

Application Notes

Optimal dilution of the recombinant MMP3 antibody should be determined by the researcher.

1. The prediluted format is supplied in a dropper bottle and is optimized for use in IHC. After epitope retrieval step (if required), drip mAb solution onto the tissue section and incubate at RT for 30 min.

Immunogen

Amino acids 317-327 were used as the immunogen for the recombinant MMP3 antibody.

Storage

Store the recombinant MMP3 antibody at 2-8oC (with azide) or aliquot and store at -20oC or colder (without azide).

Cross
Bulk Quote Request Form
Name*:
Organization*:
Email*:
Phone Number*:
Catalog No.*:
Comments and Specifics(amount, formulation, etc.)*:
Validation code: Captchapackage Image


Can't read the image? click here to refresh.
    *required field

Your bulk quote request has been submitted successfully!

Please contact us if you have any questions.