• Tel: 858.663.9055
  • SeparatorEmail: info@nsjbio.com
  • Tel: 858.663.9055
  • Email: info@nsjbio.com
Home >> Antibodies >> Recombinant MMP12 Antibody

Recombinant MMP12 Antibody [clone RM381] (R20399)

  Catalog No Formulation Size Price (USD)  
Image R20399-0.1ML Antibody in PBS with 50% glycerol, 1% BSA and 0.09% sodium azide 100 ul 429
Microvalidated Recrabbitmono
Bulk quote request
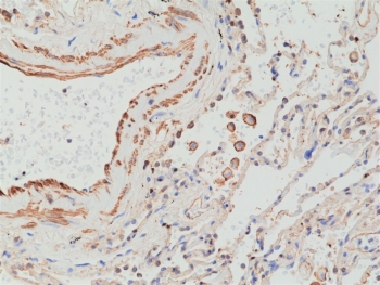
IHC staining of FFPE human lung tissue with recombinant MMP12 antibody at 1:2500.
Western blot testing of human HEK293 cell lysate with recombinant MMP12 antibody at 1:500 dilution. Predicted molecular weight: ~55 kDa (pro form), ~45 kDa and ~22 kDa (active forms).
Availability 1-3 business days
Species Reactivity Human
Format Purified
Clonality Recombinant Rabbit Monoclonal
Isotype Rabbit IgG
Clone Name RM381
Purity Protein A purified from animal origin-free supernatant
UniProt P39900
Applications Immunohistochemistry (FFPE) : 1:1000-1:2500
Western Blot : 1:200-1:1000
Limitations This recombinant MMP12 antibody is available for research use only.
Review this product on BioCompare and get a $20 Amazon gift card

Related Products

  • Applications : WB
    Reactivity : Human
  • Applications : WB, ELISA (peptide)
    Reactivity : Human
    Pred. Reactivity : Dog, Cow
  • Applications : WB, ELISA (protein)
    Reactivity : Mouse
  • Applications : WB, IHC-P, IF
    Reactivity : Human, Mouse

Description

This antibody reacts to human Matrix metalloproteinase-12 (MMP-12).

Application Notes

The stated application concentrations are suggested starting points. Titration of the recombinant MMP12 antibody may be required due to differences in protocols and secondary/substrate sensitivity.

Immunogen

A peptide corresponding to C-terminus of human Matrix metalloproteinase-12 (MMP-12) was used as the immunogen for the recombinant MMP12 antibody.

Storage

Store the recombinant MMP12 antibody at -20oC.

Cross
Bulk Quote Request Form
Name*:
Organization*:
Email*:
Phone Number*:
Catalog No.*:
Comments and Specifics(amount, formulation, etc.)*:
Validation code: Captchapackage Image


Can't read the image? click here to refresh.
    *required field

Your bulk quote request has been submitted successfully!

Please contact us if you have any questions.