- Tel: 858.663.9055
-
Email: info@nsjbio.com
- Tel: 858.663.9055
- Email: info@nsjbio.com
Related Products
|
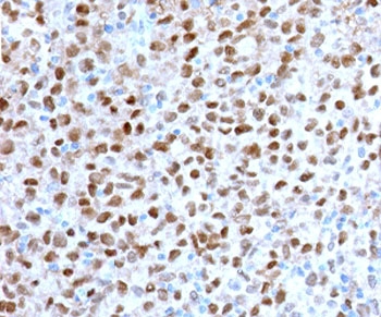
MITF (microphthalmia transcription factor) is a transcription factor that regulates the expression of genes with essential roles in cell differentiation, proliferation and survival. Binds to symmetrical DNA sequences (E-boxes) (5'-CACGTG-3') found in the promoters of target genes, such as BCL2 and tyrosinase (TYR). Plays an important role in melanocyte development by regulating the expression of tyrosinase (TYR) and tyrosinase-related protein 1 (TYRP1). Plays a critical role in the differentiation of various cell types, such as neural crest-derived melanocytes, mast cells, osteoclasts and optic cup-derived retinal pigment epithelium. [UniProt]
The stated application concentrations are suggested starting points. Titration of the recombinant MITF antibody may be required due to differences in protocols and secondary/substrate sensitivity.
1. The prediluted format is supplied in a dropper bottle and is optimized for use in IHC. After epitope retrieval step (if required), drip mAb solution onto the tissue section and incubate at RT for 30 min.
Recombinant full-length human protein was used as the immunogen for the recombinant MITF antibody.
Store the recombinant MITF antibody at 2-8oC (with azide) or aliquot and store at -20oC or colder (without azide).
Your bulk quote request has been submitted successfully!
Please contact us if you have any questions.