• Tel: 858.663.9055
  • SeparatorEmail: info@nsjbio.com
  • Tel: 858.663.9055
  • Email: info@nsjbio.com
Home >> Antibodies >> Recombinant Luteinizing Hormone beta Antibody

Recombinant Luteinizing Hormone beta Antibody [clone LHb/1612R] (V9347)

  Catalog No Formulation Size Price (USD)  
Image V9347-100UG 0.2 mg/ml in 1X PBS with 0.1 mg/ml BSA (US sourced), 0.05% sodium azide 100 ug 539
Image
V9347-20UG 0.2 mg/ml in 1X PBS with 0.1 mg/ml BSA (US sourced), 0.05% sodium azide 20 ug 249
Image
V9347SAF-100UG 1 mg/ml in 1X PBS; BSA free, sodium azide free 100 ug 539
Microvalidated Recrabbitmono
Bulk quote request
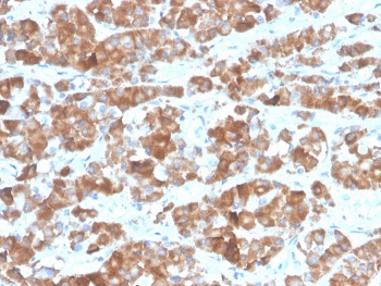
IHC staining of FFPE human pituitary tissue with recombinant Luteinizing Hormone beta antibody (clone LHb/1612R). HIER: boil tissue sections in pH 9 10mM Tris with 1mM EDTA for 20 min and allow to cool before testing.
SDS-PAGE analysis of purified, BSA-free recombinant Luteinizing Hormone beta antibody (clone LHb/1612R) as confirmation of integrity and purity.
Availability 1-3 business days
Species Reactivity Human
Format Purified
Clonality Recombinant Rabbit Monoclonal
Isotype Rabbit IgG
Clone Name LHb/1612R
Purity Protein A/G affinity
UniProt P01229
Localization Cytoplasm, Secreted
Applications Immunohistochemistry (FFPE) : 1-2ug/ml
Limitations This recombinant Luteinizing Hormone beta antibody is available for research use only.
Review this product on BioCompare and get a $20 Amazon gift card

Related Products

Description

LH has a beta subunit of 121 amino acids (LHB) that confers its specific biologic action and is responsible for interaction with the LH receptor. This beta subunit contains the same amino acids in sequence as the beta subunit of hCG and both stimulate the same receptor; however, the hCG beta subunit contains an additional 24 amino acids and the hormones differ in the composition of their sugar moieties.LH is synthesized and secreted by gonadotrophs in the anterior lobe of the pituitary gland. In concert with the other pituitary gonadotropin follicle-stimulating hormone (FSH), it is necessary for proper reproductive function. In the female, an acute rise of LH levels triggers ovulation. In the male, where LH has also been called Interstitial Cell-Stimulating Hormone (ICSH), it stimulates Leydig cell production of testosterone. LH is a useful marker in classification of pituitary tumors and the study of pituitary disease.

Application Notes

Optimal dilution of the recombinant Luteinizing Hormone beta antibody should be determined by the researcher.

Immunogen

Recombinant full-length human LHB protein was used as the immunogen for the recombinant Luteinizing Hormone beta antibody.

Storage

Aliquot the recombinant Luteinizing Hormone beta antibody and store frozen at -20oC or colder. Avoid repeated freeze-thaw cycles.

Cross
Bulk Quote Request Form
Name*:
Organization*:
Email*:
Phone Number*:
Catalog No.*:
Comments and Specifics(amount, formulation, etc.)*:
Validation code: Captchapackage Image


Can't read the image? click here to refresh.
    *required field

Your bulk quote request has been submitted successfully!

Please contact us if you have any questions.