• Tel: 858.663.9055
  • SeparatorEmail: info@nsjbio.com
  • Tel: 858.663.9055
  • Email: info@nsjbio.com
Home >> Antibodies >> Recombinant KRT13 Antibody / Cytokeratin 13

Recombinant KRT13 Antibody / Cytokeratin 13 [clone rKRT13/9623] (V5478)

  Catalog No Formulation Size Price (USD)  
Image V5478-100UG 0.2 mg/ml in 1X PBS with 0.1 mg/ml BSA (US sourced), 0.05% sodium azide 100 ug 539
Image
V5478-20UG 0.2 mg/ml in 1X PBS with 0.1 mg/ml BSA (US sourced), 0.05% sodium azide 20 ug 249
Image
V5478SAF-100UG 1 mg/ml in 1X PBS; BSA free, sodium azide free 100 ug 539
Microvalidated Recmousemono
Bulk quote request
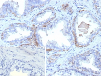
IHC staining of FFPE human prostate carcinoma tissue with recombinant KRT13 antibody (clone rKRT13/9623). Inset: PBS used in place of primary Ab (secondary Ab negative control). HIER: boil tissue sections in pH 9 10mM Tris with 1mM EDTA for 20 min and allow to cool before testing.
SDS-PAGE analysis of purified, BSA-free recombinant KRT13 antibody (clone rKRT13/9623) as confirmation of integrity and purity.
Availability 1-3 business days
Species Reactivity Human
Format Purified
Clonality Recombinant Mouse Monoclonal
Isotype Mouse IgG2b, kappa
Clone Name rKRT13/9623
Purity Protein A/G affinity
UniProt P13646
Applications Immunohistochemistry (FFPE) : 1-2ug/ml
Limitations This recombinant KRT13 antibody is available for research use only.
Review this product on BioCompare and get a $20 Amazon gift card

Related Products

Description

Cytokeratins comprise a diverse group of intermediate filament proteins (IFPs)that are expressed as pairs in both keratinized and non-keratinized epithelial tissue. Cytokeratins play a critical role in differentiation and tissue specialization and function to maintain the overall structural integrity of epithelial cells. Cytokeratins have been found to be useful markers of tissue differentiation, which is directly applicable to the characterization of malignant tumors. Cytokeratins 10 and 13 are present in the cytoskeletal region of a subset of squamous cell carcinomas. Cytokeratin 13 belongs to the intermediate filament family and is a heterotetramer of two type I acidic and two type II basic keratins. It is generally associated with Cytokeratin 4. Defects in the KRT13 gene are a cause of white sponge nevus of cannon (WSN), a rare autosomal dominant disorder which predominantly affects noncornified stratified squamous epithelia and is characterized by the presence of soft, white and spongy plaques in the oral mucosa.

Application Notes

Optimal dilution of the recombinant KRT13 antibody should be determined by the researcher.

Immunogen

Esophageal keratins of rabbit origin were used as the immunogen for the recombinant KRT13 antibody.

Storage

Aliquot the recombinant KRT13 antibody and store frozen at -20oC or colder. Avoid repeated freeze-thaw cycles.

Cross
Bulk Quote Request Form
Name*:
Organization*:
Email*:
Phone Number*:
Catalog No.*:
Comments and Specifics(amount, formulation, etc.)*:
Validation code: Captchapackage Image


Can't read the image? click here to refresh.
    *required field

Your bulk quote request has been submitted successfully!

Please contact us if you have any questions.