• Tel: 858.663.9055
  • SeparatorEmail: info@nsjbio.com
  • Tel: 858.663.9055
  • Email: info@nsjbio.com
Home >> Antibodies >> Recombinant JAM-A Antibody / F11R / JAM1

Recombinant JAM-A Antibody / F11R / JAM1 [clone RM275] (R20292)

  Catalog No Formulation Size Price (USD)  
Image R20292-0.1ML Antibody in PBS with 50% glycerol, 1% BSA and 0.09% sodium azide 100 ul 429
Microvalidated Recrabbitmono
Bulk quote request
Western blot of human 293 cell lysate using recombinant JAM-A antibody at 1:250. Observed molecular weight 35-43 kDa depending on glycosylation level.
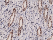
IHC testing of FFPE human kidney tissue with recombinant JAM-A antibody at 1:10,000.
Availability 1-3 business days
Species Reactivity Human
Format Purified
Clonality Recombinant Rabbit Monoclonal
Isotype Rabbit IgG
Clone Name RM275
Purity Protein A purified from animal origin-free supernatant
UniProt Q9Y624
Gene ID 50848
Applications Immunohistochemistry (FFPE) : 1:2000-1:10;000 (1)
Western Blot : 1:250-1:1000
Limitations This recombinant JAM-A antibody is available for research use only.
Review this product on BioCompare and get a $20 Amazon gift card

Related Products

Description

The Recombinant JAM-A antibody is a recombinant reagent engineered to detect junctional adhesion molecule 1 (JAM1), also known as JAM1 or F11 receptor (F11R). JAM1 is a member of the immunoglobulin superfamily and is localized primarily at tight junctions of epithelial and endothelial cells. It plays a central role in regulating cell polarity, paracellular permeability, and leukocyte transmigration. Beyond barrier function, JAM1 also participates in platelet activation, angiogenesis, and immune regulation. The Recombinant JAM-A antibody provides reliable and reproducible detection of this protein across a broad range of biological contexts.

JAM-A is encoded by the F11R gene on chromosome 1q23. Structurally, it is a type I transmembrane glycoprotein consisting of two extracellular immunoglobulin-like domains, a single transmembrane region, and a short cytoplasmic tail containing a PDZ-binding motif. These features enable JAM-A to interact with zonula occludens proteins, linking tight junctions to the actin cytoskeleton, as well as with integrins such as LFA-1 on leukocytes, facilitating adhesion and transmigration across endothelial barriers. The Recombinant JAM-A antibody detects this protein with high specificity, supporting both basic and translational research.

In immunohistochemistry, the Recombinant JAM-A antibody highlights tight junctions in epithelial and endothelial tissues, producing membranous staining that reflects its junctional localization. In immunofluorescence, it reveals fine localization to cell-cell contacts, enabling visualization of tight junction architecture and remodeling. In western blotting, the antibody detects JAM1 protein in cell and tissue lysates, supporting quantitative assessment of expression. Recombinant production ensures consistent recognition across lots, minimizing variability that can occur with hybridoma-derived antibodies.

The Recombinant JAM-A antibody is widely applied in studies of epithelial and endothelial biology, where JAM1 contributes to barrier formation and regulation of paracellular transport. In immunology, it supports investigation of leukocyte extravasation, as JAM1 interactions with integrins are critical for immune surveillance and inflammation. In vascular biology, it is used to study angiogenesis and endothelial remodeling. Dysregulation of JAM1 expression or function has been implicated in cancer progression, cardiovascular disease, and inflammatory disorders. Synonym phrases such as recombinant JAM1 antibody, recombinant junctional adhesion molecule antibody, and recombinant F11R antibody broaden accessibility for researchers using alternate nomenclature.

By providing validated and reproducible detection, the Recombinant JAM-A antibody supports high-quality research into tight junction biology, immune trafficking, and vascular remodeling. NSJ Bioreagents ensures strict quality control for this reagent, offering researchers confidence in its use across western blotting, immunohistochemistry, and immunofluorescence. With specificity for JAM1/F11R, the Recombinant JAM-A antibody is an essential tool for advancing studies of barrier integrity, immune regulation, and disease pathogenesis.

Application Notes

The stated application concentrations are suggested starting points. Titration of the recombinant JAM-A antibody may be required due to differences in protocols and secondary/substrate sensitivity.

1. A pH6 Citrate buffer or pH9 Tris/EDTA buffer HIER step is recommended for testing of FFPE tissue sections.

Immunogen

A peptide corresponding to the N-terminus of human JAM1 (Junctional adhesion molecule 1) was used as the immunogen for this recombinant JAM-A antibody.

Storage

Store the recombinant JAM-A antibody at -20oC (with glycerol) or aliquot and store at -20oC (without glycerol).

Cross
Bulk Quote Request Form
Name*:
Organization*:
Email*:
Phone Number*:
Catalog No.*:
Comments and Specifics(amount, formulation, etc.)*:
Validation code: Captchapackage Image


Can't read the image? click here to refresh.
    *required field

Your bulk quote request has been submitted successfully!

Please contact us if you have any questions.