• Tel: 858.663.9055
  • SeparatorEmail: info@nsjbio.com
  • Tel: 858.663.9055
  • Email: info@nsjbio.com
Home >> Antibodies >> Recombinant Involucrin Antibody

Recombinant Involucrin Antibody [clone rIVRN/827] (V7897)

  Catalog No Formulation Size Price (USD)  
Image V7897-100UG 0.2 mg/ml in 1X PBS with 0.1 mg/ml BSA (US sourced) and 0.05% sodium azide 100 ug 539
Image
V7897-20UG 0.2 mg/ml in 1X PBS with 0.1 mg/ml BSA (US sourced) and 0.05% sodium azide 20 ug 249
Image
V7897SAF-100UG 1 mg/ml in 1X PBS; BSA free, sodium azide free 100 ug 539
Microvalidated Recmousemono
Bulk quote request
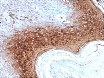
IHC staining of FFPE human skin with recombinant Involucrin antibody (clone rIVRN/827J). HIER: boil tissue sections in pH 9 10mM Tris with 1mM EDTA for 20 min and allow to cool before testing.
SDS-PAGE analysis of purified, BSA-free recombinant Involucrin antibody (clone rIVRN/827) as confirmation of integrity and purity.
Availability 1-3 business days
Species Reactivity Human
Format Purified
Clonality Recombinant Mouse Monoclonal
Isotype Mouse IgG1, kappa
Clone Name rIVRN/827
Purity Protein G affinity chromatography
UniProt P07476
Localization Cytoplasmic
Applications Immunohistochemistry (FFPE) : 0.1-0.2ug/ml
Limitations This recombinant Involucrin antibody is available for research use only.
Review this product on BioCompare and get a $20 Amazon gift card

Related Products

Description

It recognizes a protein of 66kDa-170kDa, identified as involucrin. In Western blotting of cultured human keratinocytes, this MAb reacts with a 120kDa protein. It stains the involucrin in a variety of sizes: 170kDa in MCF-7 cells, a doublet of ~115kDa and 150kDa in gorilla and owl monkey, 66kDa in dog, and a doublet of 105kDa in pig. Its epitope maps between codon 421-568 of human involucrin. Involucrin is expressed in a range of stratified squamous epithelia, including the cornea, which lacks a distinct cornified layer. In normal epidermis, it is first expressed in the upper spinous layers, and in keratinocyte cultures, all cells that have left the basal layer express it. Involucrin expression is altered in pathological conditions: in psoriasis and other benign epidermal hyperplasias, involucrin expression begins closer to the basal layer than normal; expression is abnormal in squamous cell carcinomas and premalignant lesions, and is reduced in severe dysplasias of the larynx and cervix.

Application Notes

Optimal dilution of the recombinant Involucrin antibody should be determined by the researcher.

Immunogen

A recombinant human full-length Involucrin protein was used as the immunogen for this recombinant Involucrin antibody.

Storage

Store the recombinant Involucrin antibody at 2-8oC (with azide) or aliquot and store at -20oC or colder (without azide).

Cross
Bulk Quote Request Form
Name*:
Organization*:
Email*:
Phone Number*:
Catalog No.*:
Comments and Specifics(amount, formulation, etc.)*:
Validation code: Captchapackage Image


Can't read the image? click here to refresh.
    *required field

Your bulk quote request has been submitted successfully!

Please contact us if you have any questions.