• Tel: 858.663.9055
  • SeparatorEmail: info@nsjbio.com
  • Tel: 858.663.9055
  • Email: info@nsjbio.com
Home >> Antibodies >> Recombinant Integrin alpha E Antibody / CD103

Recombinant Integrin alpha E Antibody / CD103 [clone ITGAE/3904R] (V8419)

  Catalog No Formulation Size Price (USD)  
Image V8419-100UG 0.2 mg/ml in 1X PBS with 0.1 mg/ml BSA (US sourced) and 0.05% sodium azide 100 ug 539
Image
V8419-20UG 0.2 mg/ml in 1X PBS with 0.1 mg/ml BSA (US sourced) and 0.05% sodium azide 20 ug 249
Image
V8419SAF-100UG 1 mg/ml in 1X PBS; BSA free, sodium azide free 100 ug 539
Microvalidated Recrabbitmono
Bulk quote request
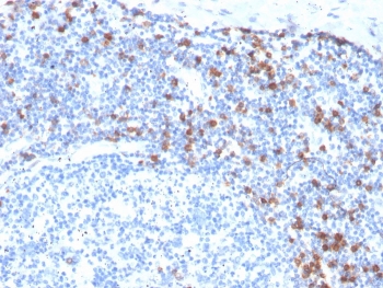
IHC staining of FFPE human tonsil with recombinant Integrin alpha E antibody (clone ITGAE/3904R). HIER: boil tissue sections in pH 9 10mM Tris with 1mM EDTA for 20 min and allow to cool before testing.
SDS-PAGE analysis of purified, BSA-free recombinant Integrin alpha E antibody (clone ITGAE/3904R) as confirmation of integrity and purity.
Availability 1-3 business days
Species Reactivity Human
Format Purified
Clonality Recombinant Rabbit Monoclonal
Isotype Rabbit IgG
Clone Name ITGAE/3904R
Purity Protein A affinity chromatography
UniProt P38570
Localization Cell surface and cytoplasm
Applications Immunohistochemistry (FFPE) : 1-2ug/ml for 30 minutes at RT
Limitations This recombinant Integrin alpha E antibody is available for research use only.
Review this product on BioCompare and get a $20 Amazon gift card

Related Products

Description

This MAb recognizes a protein of 150kDa, identified as CD103, which is the alpha-E integrin subunit of the heterodimeric alpha-E beta-7 (aEb7) integrin belonging to a small beta-7 integrin subfamily. CD103 is expressed on more than 95% of intraepithelial CD8+ cells and on 40% of mucosa-associated T cells, whereas less than 2% of resting blood lymphocytes are CD103-positive. In several malignant conditions, such as T-cell lymphomas and hairy cell leukemia (HCL), the cells express CD103. Antibody to CD103 is an extremely useful addition to the IHC panel for the diagnosis of hairy cell leukemia (HCL).

Application Notes

Optimal dilution of the recombinant Integrin alpha E antibody should be determined by the researcher.

Immunogen

Recombinant human ITGAE partial protein was used as the immunogen for the Integrin alpha E antibody.

Storage

Store the recombinant Integrin alpha E antibody at 2-8oC (with azide) or aliquot and store at -20oC or colder (without azide).

Cross
Bulk Quote Request Form
Name*:
Organization*:
Email*:
Phone Number*:
Catalog No.*:
Comments and Specifics(amount, formulation, etc.)*:
Validation code: Captchapackage Image


Can't read the image? click here to refresh.
    *required field

Your bulk quote request has been submitted successfully!

Please contact us if you have any questions.