• Tel: 858.663.9055
  • SeparatorEmail: info@nsjbio.com
  • Tel: 858.663.9055
  • Email: info@nsjbio.com
Home >> Antibodies >> Recombinant INHA Antibody / Inhibin alpha

Recombinant INHA Antibody / Inhibin alpha [clone rINHA/6919] (V9664)

  Catalog No Formulation Size Price (USD)  
Image V9664-100UG 0.2 mg/ml in 1X PBS with 0.1 mg/ml BSA (US sourced), 0.05% sodium azide 100 ug 539
Image
V9664-20UG 0.2 mg/ml in 1X PBS with 0.1 mg/ml BSA (US sourced), 0.05% sodium azide 20 ug 249
Image
V9664SAF-100UG 1 mg/ml in 1X PBS; BSA free, sodium azide free 100 ug 539
Microvalidated Recmousemono
Bulk quote request
Western blot testing of human testis tissue with recombinant INHA antibody (clone rINHA/6919).
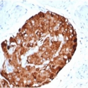
IHC staining of FFPE human testicular carcinoma with recombinant INHA antibody (clone rINHA/6919) at 2ug/ml in PBS for 30min RT. HIER: boil tissue sections in pH 9 10mM Tris with 1mM EDTA for 20 min and allow to cool before testing.
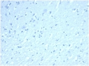
Negative control: IHC staining of FFPE human brain tissue using recombinant INHA antibody (clone rINHA/6919at 2ug/ml in PBS for 30min RT. HIER: boil tissue sections in pH 9 10mM Tris with 1mM EDTA for 20 min and allow to cool before testing.
SDS-PAGE analysis of purified, BSA-free recombinant INHA antibody (clone rINHA/6919) as confirmation of integrity and purity.
Availability 1-3 business days
Species Reactivity Human
Format Purified
Clonality Recombinant Mouse Monoclonal
Isotype Mouse IgG1, kappa
Clone Name rINHA/6919
Purity Protein A/G affinity
UniProt P05111
Localization Cytoplasm, Nucleus
Applications Immunohistochemistry (FFPE) : 1-2ug/ml
Western Blot : 2-4ug/ml
Limitations This recombinant INHA antibody is available for research use only.
Review this product on BioCompare and get a $20 Amazon gift card

Related Products

Description

It recognizes a 47kDa protein, which is identified as alpha sub-unit of Inhibin. It is a gonadal protein that preferentially suppresses the secretion of pituitary follicle-stimulating hormone (FSH). Inhibin comprises two subunits, Inhibin A and Inhibin B. Each subunit consists of the same ) superfamily. Antibodies against Inhibin are useful in making a differentiation between adrenal cortical tumors and renal cell carcinoma. Sex cord stromal tumors of the ovary as well as trophoblastic tumors also demonstrate cytoplasmic positivity. Inhibin antibody is also used to make the differential diagnosis of intra-uterine vs. ectopic pregnancy in endometrial curetting.

Application Notes

Optimal dilution of the recombinant INHA antibody should be determined by the researcher.

Immunogen

A portion of amino acids 233-362 was used as the immunogen for the recombinant INHA antibody.

Storage

Aliquot the recombinant INHA antibody and store frozen at -20oC or colder. Avoid repeated freeze-thaw cycles.

Cross
Bulk Quote Request Form
Name*:
Organization*:
Email*:
Phone Number*:
Catalog No.*:
Comments and Specifics(amount, formulation, etc.)*:
Validation code: Captchapackage Image


Can't read the image? click here to refresh.
    *required field

Your bulk quote request has been submitted successfully!

Please contact us if you have any questions.