• Tel: 858.663.9055
  • SeparatorEmail: info@nsjbio.com
  • Tel: 858.663.9055
  • Email: info@nsjbio.com
Home >> Antibodies >> Recombinant IMP3 Antibody / Insulin like growth factor 2 mRNA binding protein 3

Recombinant IMP3 Antibody / Insulin like growth factor 2 mRNA binding protein 3 [clone IMP3/8985R] (V4395)

  Catalog No Formulation Size Price (USD)  
Image V4395-100UG 0.2 mg/ml in 1X PBS with 0.1 mg/ml BSA (US sourced), 0.05% sodium azide 100 ug 539
Image
V4395-20UG 0.2 mg/ml in 1X PBS with 0.1 mg/ml BSA (US sourced), 0.05% sodium azide 20 ug 249
Image
V4395SAF-100UG 1 mg/ml in 1X PBS; BSA free, sodium azide free 100 ug 539
Microvalidated Recrabbitmono
Bulk quote request
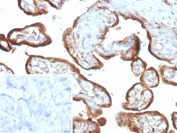
IHC staining of FFPE human placental tissue with recombinant IMP3 antibody (clone IMP3/8985R) Inset: PBS used in place of primary Ab (secondary Ab negative control). HIER: boil tissue sections in pH 9 10mM Tris with 1mM EDTA for 20 min and allow to cool before testing.
Availability 1-3 business days
Species Reactivity Human
Format Purified
Clonality Recombinant Rabbit Monoclonal
Isotype Rabbit IgG, kappa
Clone Name IMP3/8985R
Purity Protein A/G affinity
UniProt Q9NV31
Localization Nucleus
Applications Immunohistochemistry (FFPE) : 1-2ug/ml for 30 minutes at RT
Limitations This recombinant IMP3 antibody is available for research use only.
Review this product on BioCompare and get a $20 Amazon gift card

Related Products

Description

Imp3, also known as BRMS2, C15orf12 or MRPS4, is a 184 amino acid protein that contains one S4 RNA-binding domain and is the mammalian homolog of the yeast Imp3 protein. Localized to the nucleus, Imp3 exists as a component of a heterotrimeric complex consisting of MPP10, Imp3 and Imp4 and, in this complex, plays a key role in early cleavage events during pre-18S ribosomal processing. The gene encoding Imp3 maps to human chromosome 15, which houses over 700 genes and comprises nearly 3% of the human genome. Angelman syndrome, Prader-Willi syndrome, Tay-Sachs disease and Marfan syndrome are all associated with defects in chromosome 15-localized genes.

Application Notes

Optimal dilution of the recombinant IMP3 antibody should be determined by the researcher.

Immunogen

A recombinant fragment of human protein was used as the immunogen for the recombinant IMP3 antibody.

Storage

Aliquot the recombinant IMP3 antibody and store frozen at -20oC or colder. Avoid repeated freeze-thaw cycles.

Cross
Bulk Quote Request Form
Name*:
Organization*:
Email*:
Phone Number*:
Catalog No.*:
Comments and Specifics(amount, formulation, etc.)*:
Validation code: Captchapackage Image


Can't read the image? click here to refresh.
    *required field

Your bulk quote request has been submitted successfully!

Please contact us if you have any questions.