• Tel: 858.663.9055
  • SeparatorEmail: info@nsjbio.com
  • Tel: 858.663.9055
  • Email: info@nsjbio.com
Home >> Antibodies >> Recombinant Human Lambda Light Chain Antibody (Biotin Conjugate)

Recombinant Human Lambda Light Chain Antibody (Biotin Conjugate) [clone RM127] (R20179BTN)

  Catalog No Formulation Size Price (USD)  
Image R20179BTN-50UG 1 mg/ml in PBS with 50% glycerol, 1% BSA and 0.09% sodium azide 50 ug 429
Microvalidated Recrabbitmono
Bulk quote request
ELISA of human immunoglobulins shows the recombinant Human Lambda Light Chain antibody reacts to the lambda light chain of human immunoglobulins. No cross reactivity with the kappa light chain, mouse IgG, rat IgG, or goat IgG.
ELISA Titration: the plate was coated with different amounts of human IgG3λ. A serial dilution of the recombinant Human Lambda Light Chain antibody was used as the primary and an alkaline phosphatase conjugated anti-rabbit IgG as the secondary.
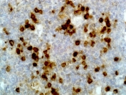
IHC testing of FFPE human tonsil tissue with recombinant Human Lambda Light Chain antibody. A pH6 Citrate buffer or pH9 Tris/EDTA buffer HIER step is recommended for testing of FFPE tissue sections.
Availability 1-3 business days
Species Reactivity Human
Format Biotin Conjugate
Clonality Recombinant Rabbit Monoclonal
Isotype Rabbit IgG, kappa
Clone Name RM127
Purity Protein A purified from animal origin-free supernatant
UniProt P0CG04
Gene ID 3537
Applications ELISA : 0.05-0.2ug/ml
Immunocytochemistry : 0.5-2ug/ml
Immunohistochemistry : 0.5-2ug/ml
Limitations This recombinant Human Lambda Light Chain antibody is available for research use only.
Review this product on BioCompare and get a $20 Amazon gift card

Related Products

Description

This recombinant Human Lambda Light Chain antibody reacts to the lambda light chain of human immunoglobulins. No cross reactivity with the kappa light chain, mouse IgG, rat IgG, or goat IgG

Application Notes

The stated application concentrations are suggested starting points. Titration of the recombinant Human Lambda Light Chain antibody may be required due to differences in protocols and secondary/substrate sensitivity.

Immunogen

Human IgG was used as the immunogen for this recombinant Human Lambda Light Chain antibody.

Storage

Store the recombinant Human Lambda Light Chain antibody at -20oC.

Cross
Bulk Quote Request Form
Name*:
Organization*:
Email*:
Phone Number*:
Catalog No.*:
Comments and Specifics(amount, formulation, etc.)*:
Validation code: Captchapackage Image


Can't read the image? click here to refresh.
    *required field

Your bulk quote request has been submitted successfully!

Please contact us if you have any questions.