• Tel: 858.663.9055
  • SeparatorEmail: info@nsjbio.com
  • Tel: 858.663.9055
  • Email: info@nsjbio.com
Home >> Antibodies >> Recombinant Human IgG4 Antibody (Hinge region) Biotin Conjugate

Recombinant Human IgG4 Antibody (Hinge region) Biotin Conjugate [clone RM120] (R20190BTN)

  Catalog No Formulation Size Price (USD)  
Image R20190BTN-50UG 1 mg/ml in PBS with 50% glycerol, 1% BSA and 0.09% sodium azide 50 ug 429
Microvalidated Recrabbitmono
Bulk quote request
Sandwich ELISA with human IgG4 using recombinant Human IgG4 antibody as the capture, and biotinylated anti-human light chains (κ+λ) antibody RM129 as the detect, followed by an AP conjugated streptavidin.
Sandwich ELISA with human plasma using recombinant Human IgG4 antibody as the capture, and biotinylated anti-human light chains (κ+λ) antibody RM129 as the detect, followed by an AP conjugated streptavidin.
Western blot of human, mouse, rat, and goat IgG shows the recombinant Human IgG4 antibody reacts to hIgG4, in both whole molecule (~150kDa, non-reduced) and heavy chain (~50kDa, reduced) forms. No cross reactivity with other isotypes of hIgG, or mouse/rat/goat IgG.
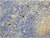
IHC testing of FFPE human lymphoid tissue with recombinant Human IgG4 antibody.
ELISA Titration: the plate was coated with different amounts of hIgG4. A serial dilution of recombinant Human IgG4 antibody was used as the primary and an alkaline phosphatase conjugated anti-rabbit IgG as the secondary.
Availability 1-3 business days
Species Reactivity Human
Format Biotin Conjugate
Clonality Recombinant Rabbit Monoclonal
Isotype Rabbit IgG
Clone Name RM120
Purity Protein A purified from animal origin-free supernatant
UniProt P01861
Gene ID 3503
Applications ELISA : 50ng/well-200ng/well (Capture); 0.05-0.2ug/ml (Detection)
Immunocytochemistry : 1-10ug/ml
Immunohistochemistry : 1-10ug/ml (1)
Limitations This recombinant Human IgG4 antibody is available for research use only.
Review this product on BioCompare and get a $20 Amazon gift card

Related Products

Description

This recombinant Human IgG4 antibody reacts to the heavy chain of human IgG4. No cross reactivity with human IgG1, IgG2, IgG3, IgM, IgA, IgD, IgE, mouse IgG, rat IgG, or goat IgG.

Application Notes

The stated application concentrations are suggested starting points. Titration of the recombinant Human IgG4 antibody may be required due to differences in protocols and secondary/substrate sensitivity.

1. A pH6 Citrate buffer or pH9 Tris/EDTA buffer HIER step is recommended for testing of FFPE tissue sections.

Immunogen

Peptide corresponding to the hinge region of human IgG4 was used as the immunogen for this recombinant Human IgG4 antibody.

Storage

Store the recombinant Human IgG4 antibody at -20oC.

Cross
Bulk Quote Request Form
Name*:
Organization*:
Email*:
Phone Number*:
Catalog No.*:
Comments and Specifics(amount, formulation, etc.)*:
Validation code: Captchapackage Image


Can't read the image? click here to refresh.
    *required field

Your bulk quote request has been submitted successfully!

Please contact us if you have any questions.