• Tel: 858.663.9055
  • SeparatorEmail: info@nsjbio.com
  • Tel: 858.663.9055
  • Email: info@nsjbio.com
Home >> Antibodies >> Recombinant Human IgG3 Antibody

Recombinant Human IgG3 Antibody [clone RM119] (R20189)

  Catalog No Formulation Size Price (USD)  
Image R20189-100UG 1 mg/ml in PBS with 50% glycerol, 1% BSA and 0.09% sodium azide 100 ug 429
Microvalidated Recrabbitmono
Bulk quote request
Sandwich ELISA with human plasma using recombinant Human IgG3 antibody as the capture, and biotinylated anti-human light chains (κ+λ) antibody RM129 as the detect, followed by an AP conjugated streptavidin.
Sandwich ELISA with human IgG3 using recombinant Human IgG3 antibody as the capture, and biotinylated anti-human light chains (κ+λ) antibody RM129 as the detect, followed by an AP conjugated streptavidin.
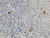
IHC testing of FFPE human lymphoid tissue with recombinant Human IgG3 antibody. A pH6 Citrate buffer or pH9 Tris/EDTA buffer HIER step is recommended for testing of FFPE tissue sections.
ELISA of human immunoglobulins shows recombinant Human IgG3 antibody reacts only to hIgG3. No cross reactivity with IgG1, IgG2, IgG4, IgE, IgD, IgA, mouse/rat/goat IgG.
ELISA Titration: the plate was coated with different amounts of hIgG3. A serial dilution of recombinant Human IgG3 antibody was used as the primary and an alkaline phosphatase conjugated anti-rabbit IgG as the secondary.
Availability 1-3 business days
Species Reactivity Human
Format Purified
Clonality Recombinant Rabbit Monoclonal
Isotype Rabbit IgG
Clone Name RM119
Purity Protein A purified from animal origin-free supernatant
UniProt P01860
Gene ID 3502
Applications ELISA : 50ng/well-200ng/well (Capture); 0.05-0.2ug/ml (Detection)
Immunocytochemistry : 0.5-2ug/ml
Immunohistochemistry : 0.5-2ug/ml
Limitations This recombinant Human IgG3 antibody is available for research use only.
Review this product on BioCompare and get a $20 Amazon gift card

Related Products

Description

The Recombinant Human IgG3 antibody is produced as a recombinant reagent that reflects the structure and function of the IgG3 subclass of human immunoglobulins. IgG3 is notable for its extended hinge region, which gives it enhanced flexibility and allows strong activation of the complement cascade. This subclass is especially effective at neutralizing viruses and supporting opsonization of pathogens. The Recombinant Human IgG3 antibody preserves the constant region properties of this subclass while lacking antigen specificity, making it an essential isotype control and reference reagent for antibody based assays.

Structurally, IgG3 is composed of two heavy and two light chains, forming the classic Y shaped immunoglobulin architecture. The hinge region of IgG3 is significantly longer than that of other IgG subclasses, allowing greater spatial separation of the Fab arms. This structural feature enhances antigen binding versatility but also increases susceptibility to proteolysis. The Fc region of IgG3 binds with high affinity to Fc gamma receptors and complement component C1q, enabling strong antibody dependent cellular cytotoxicity and complement dependent lysis. The Recombinant Human IgG3 antibody reproduces these features without carrying antigen binding specificity, providing a reliable measure of nonspecific background in experimental systems.

In research applications, the Recombinant Human IgG3 antibody is widely used as an isotype control in ELISA, ensuring that assay signals represent true antigen dependent binding. In flow cytometry, it defines baseline fluorescence and detects nonspecific interactions with Fc receptor expressing cells. In immunohistochemistry, the Recombinant Human IgG3 antibody highlights background staining in tissues containing immune infiltrates. Recombinant expression ensures uniform performance across lots, avoiding the variability that can occur with hybridoma derived reagents.

This reagent is particularly valuable in studies of viral immunity and vaccine responses, where IgG3 often plays a leading role in pathogen neutralization. It is also useful in assay optimization, where the Recombinant Human IgG3 antibody can be substituted for test antibodies during validation of blocking conditions, secondary antibody specificity, and detection strategies. Synonym phrases such as recombinant human immunoglobulin G3 antibody and recombinant IgG3 isotype control antibody improve search accessibility for users referencing alternate nomenclature.

By providing validated and reproducible detection, the Recombinant Human IgG3 antibody strengthens the reliability of immunoassay data. NSJ Bioreagents supplies this reagent with rigorous quality control, ensuring dependable performance in ELISA, flow cytometry, and tissue staining. With the Recombinant Human IgG3 antibody, researchers can confidently distinguish specific antigen driven responses from nonspecific background, supporting both basic immunology and translational research.

This recombinant Human IgG3 antibody reacts to the heavy chain of hIgG3. No cross reactivity with IgG1, IgG2, IgG4, IgM, IgA, IgD, IgE, mouse/rat/goat IgG.

Application Notes

The stated application concentrations are suggested starting points. Titration of the recombinant Human IgG3 antibody may be required due to differences in protocols and secondary/substrate sensitivity.

Immunogen

Human IgG3 was used as the immunogen for this recombinant Human IgG3 antibody.

Storage

Store the recombinant Human IgG3 antibody at -20oC (with glycerol) or aliquot and store at -20oC (without glycerol).

Cross
Bulk Quote Request Form
Name*:
Organization*:
Email*:
Phone Number*:
Catalog No.*:
Comments and Specifics(amount, formulation, etc.)*:
Validation code: Captchapackage Image


Can't read the image? click here to refresh.
    *required field

Your bulk quote request has been submitted successfully!

Please contact us if you have any questions.