• Tel: 858.663.9055
  • SeparatorEmail: info@nsjbio.com
  • Tel: 858.663.9055
  • Email: info@nsjbio.com
Home >> Antibodies >> Recombinant Human IgG Antibody

Recombinant Human IgG Antibody [clone RM116] (R20177)

  Catalog No Formulation Size Price (USD)  
Image R20177-100UG 1 mg/ml in PBS with 50% glycerol, 1% BSA and 0.09% sodium azide 100 ug 429
Microvalidated Recrabbitmono
Bulk quote request
Sandwich ELISA of human plasma using the recombinant Human IgG antibody (clone RM116) as the capture (100ng/well), and biotinylated human light chains (κ+ λ) antibody (clone RM129) as the detect (1ug/mL), followed by an alkaline phosphatase conjugated streptavidin.
Sandwich ELISA of human IgG using the recombinant Human IgG antibody (clone RM116) as the capture (100ng/well), and biotinylated human light chains (κ+ λ) antibody (clone RM129) as the detect (1ug/mL), followed by an alkaline phosphatase conjugated streptavidin.
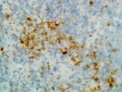
IHC testing of FFPE human tonsil with recombinant Human IgG antibody.
ELISA of human immunoglobulins shows the recombinant Human IgG antibody reacted to the G1, G2, G3, G4 heavy chain of hIgGs, and the Fc of hIgG. No cross reactivity with other heavy chains or mouse/rat/goat IgG.
ELISA Titration: the plate was coated with different amounts of human IgG1. A serial dilution of the recombinant Human IgG antibody was used as the primary and an alkaline phosphatase conjugated anti-rabbit IgG as the secondary.
Availability 1-3 business days
Species Reactivity Human
Format Purified
Clonality Recombinant Rabbit Monoclonal
Isotype Rabbit IgG
Clone Name RM116
Purity Protein A purified from animal origin-free supernatant
UniProt P01857 , P01859 , P01860 , P01861
Gene ID 3500 , 3501 , 3502 , 3503
Applications ELISA : 50ng/well-200ng/well (Capture); 0.05-0.2ug/ml (Detection)
Immunocytochemistry : 0.5-2ug/ml
Immunohistochemistry : 0.5-2ug/ml (1)
Limitations This recombinant Human IgG antibody is available for research use only.
Review this product on BioCompare and get a $20 Amazon gift card

Related Products

Description

The Recombinant Human IgG antibody is produced as a well defined immunoglobulin reagent for use as a control and reference in immunoassays. Immunoglobulin G is the most abundant antibody isotype in human serum, representing the predominant mediator of humoral immune memory. Human IgG plays a central role in neutralizing pathogens, activating complement, and engaging Fc gamma receptors on effector cells to drive antibody dependent cytotoxicity and phagocytosis. The Recombinant Human IgG antibody replicates the structural properties of this isotype while lacking antigen specificity, ensuring its utility as a consistent negative control across experimental platforms.

Structurally, human IgG is composed of two heavy and two light chains linked by disulfide bonds. The Fab regions provide antigen binding capacity, while the Fc region mediates interactions with immune effector molecules and cells. Human IgG exists in four subclasses (IgG1, IgG2, IgG3, and IgG4), each with unique effector properties and distributions. The Recombinant Human IgG antibody reflects the shared constant region architecture of these subclasses but is engineered without variable domain specificity. This allows researchers to measure background levels of fluorescence, staining, or binding without confounding antigen recognition.

The Recombinant Human IgG antibody is widely applied in flow cytometry, where it provides baseline fluorescence controls and helps identify nonspecific Fc receptor binding. In immunohistochemistry, it highlights background staining in tissues rich in Fc receptor expressing cells such as spleen or lymph nodes. In ELISA, it serves as a negative control to confirm that assay signals arise from antigen specific binding rather than nonspecific adherence to plates or detection reagents. Recombinant expression ensures reproducibility and eliminates variability that can accompany polyclonal or hybridoma derived preparations.

This reagent is also valuable in method development and assay optimization. By mimicking the structure of human IgG without antigen specificity, it provides a reliable control for testing detection reagents, blocking strategies, and secondary antibody specificity. Synonym phrases such as recombinant human immunoglobulin G antibody and recombinant IgG isotype control antibody improve accessibility for researchers searching under alternate terminology.

By providing validated and reproducible performance, the Recombinant Human IgG antibody enhances the reliability of antibody based experiments. NSJ Bioreagents ensures strict quality control for the Recombinant Human IgG antibody, allowing scientists to depend on its consistent behavior in flow cytometry, ELISA, and histology. With this reagent, researchers can confidently distinguish true antigen driven results from background interactions, advancing both basic and translational research.

This recombinant Human IgG antibody reacts to the Fc region of all gamma heavy chains of human immunoglobulins, including G1, G2, G3, and G4. No cross reactivity with other human heavy chains or mouse/rat/goat IgG.

Application Notes

The stated application concentrations are suggested starting points. Titration of the recombinant Human IgG antibody may be required due to differences in protocols and secondary/substrate sensitivity.

1. A pH6 Citrate buffer or pH9 Tris/EDTA buffer HIER step is recommended for testing of FFPE tissue sections.

Immunogen

Human IgG was used as the immunogen for this recombinant Human IgG antibody.

Storage

Store the recombinant Human IgG antibody at -20oC (with glycerol) or aliquot and store at -20oC (without glycerol).

Cross
Bulk Quote Request Form
Name*:
Organization*:
Email*:
Phone Number*:
Catalog No.*:
Comments and Specifics(amount, formulation, etc.)*:
Validation code: Captchapackage Image


Can't read the image? click here to refresh.
    *required field

Your bulk quote request has been submitted successfully!

Please contact us if you have any questions.