• Tel: 858.663.9055
  • SeparatorEmail: info@nsjbio.com
  • Tel: 858.663.9055
  • Email: info@nsjbio.com
Home >> Antibodies >> Recombinant Histone H3 Antibody

Recombinant Histone H3 Antibody [clone RM188] (R20252)

  Catalog No Formulation Size Price (USD)  
Image R20252-100UG 1 mg/ml in PBS with 50% glycerol, 1% BSA and 0.09% sodium azide 100 ug 485
Image
R20252-25UG 1 mg/ml in PBS with 50% glycerol, 1% BSA and 0.09% sodium azide 25 249
Microvalidated Recrabbitmono
Bulk quote request
Western blot of recombinant Histone H3.3 and H3.1 proteins, A375, HEK293, HeLa and SK-MEL-2 whole cell lysates, using recombinant Histone H3 antibody at 0.025 ug/ml.
ICC/IF of HeLa cells using recombinant Histone H3 antibody (red). Actin filaments have been labeled with fluorescein phalloidin (green).
Sandwich ELISA against acetylated Histone H3 at Lys 9 using HeLa whole cell lysate, treated or untreated with sodium butyrate, using recombinant Histone H3 antibody (1ug/ml) as the capture and biotinylated anti-H3K9ac (RM161, 1ug/ml) as the detect.
Sandwich ELISA against acetylated Histone H3 at Lys 79 using HeLa whole cell lysate, treated or untreated with sodium butyrate, using anti-H3K79ac (RM156, 5 ug/ml) as the capture antibody and biotinylated recombinant Histone H3 antibody (RM188, 1 ug/ml) as the detect.
This recombinant Histone H3 antibody reacts to both Histone H3.1 and H3.3.
Availability 1-3 business days
Species Reactivity All Species
Format Purified
Clonality Recombinant Rabbit Monoclonal
Isotype Rabbit IgG
Clone Name RM188
Purity Protein A purified from animal origin-free supernatant
UniProt P84243
Gene ID 8350
Applications Western Blot : 0.01-0.25ug/ml
Immunocytochemistry : 1ug/ml-5ug/ml
ELISA : 0.2-1ug/ml
Limitations This recombinant Histone H3 antibody is available for research use only.
Review this product on BioCompare and get a $20 Amazon gift card

Related Products

Description

The Recombinant Histone H3 antibody is a recombinant reagent developed to detect histone H3, one of the four essential core histones that package DNA into nucleosomes. Histone H3 is a central player in chromatin biology and epigenetic regulation, serving as a platform for a wide range of post-translational modifications including methylation, acetylation, and phosphorylation. These modifications act as epigenetic marks that govern transcription, replication, and DNA repair. Because of its critical role in gene regulation and chromatin organization, histone H3 is among the most intensively studied histones. The Recombinant Histone H3 antibody provides consistent and reproducible detection of this protein across multiple experimental platforms.

Histone H3, together with H2A, H2B, and H4, forms the histone octamer around which approximately 147 base pairs of DNA are wrapped to create nucleosomes, the repeating units of chromatin. The N-terminal tail of H3 extends outward from the nucleosome and contains lysine and arginine residues that are subject to chemical modification. These modifications create binding sites for chromatin-associated proteins, thereby influencing gene expression and higher-order chromatin structure. The Recombinant Histone H3 antibody targets conserved epitopes in H3, allowing broad detection in diverse species and tissues.

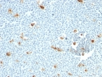
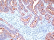
In western blotting, the Recombinant Histone H3 antibody identifies total H3 protein in cell or nuclear extracts, providing a baseline for normalization in chromatin studies. In immunofluorescence, it produces strong nuclear staining, reflecting the uniform chromatin distribution of H3. In immunohistochemistry, the antibody highlights H3-rich chromatin across tissue sections, enabling evaluation of histone expression in both normal and disease states. In chromatin immunoprecipitation (ChIP), the Recombinant Histone H3 antibody can be used to isolate nucleosomal DNA for analysis of chromatin organization and transcriptional control. Recombinant production ensures batch-to-batch consistency and avoids the variability often associated with polyclonal antibodies.

This antibody is widely applied in epigenetics research, where total H3 levels are needed to provide context for studies of histone modifications. It is also valuable in cancer biology, stem cell research, and developmental biology, where chromatin structure and histone expression patterns are frequently altered. Synonym terms such as recombinant H3 antibody, recombinant histone H3 core antibody, and recombinant nucleosomal H3 antibody expand product accessibility for users employing alternate nomenclature.

By providing validated and reproducible detection, the Recombinant Histone H3 antibody ensures reliability in chromatin and epigenetics studies. NSJ Bioreagents validates this reagent under strict quality control standards, giving researchers confidence in its performance for western blotting, immunofluorescence, immunohistochemistry, and ChIP. With its specificity for histone H3, this antibody is an indispensable tool for investigating chromatin biology, epigenetic regulation, and genome organization.

This recombinant Histone H3 antibody reacts to all Histone H3 proteins, independent of post-translational modifications. No cross reactivity with other Histone proteins.

Application Notes

The stated application concentrations are suggested starting points. Titration of the recombinant Histone H3 antibody may be required due to differences in protocols and secondary/substrate sensitivity.

Immunogen

A peptide corresponding to the C-terminus of human Histone H3 was used as the immunogen for this recombinant Histone H3 antibody.

Storage

Store the recombinant Histone H3 antibody at -20oC (with glycerol) or aliquot and store at -20oC (without glycerol).

Cross
Bulk Quote Request Form
Name*:
Organization*:
Email*:
Phone Number*:
Catalog No.*:
Comments and Specifics(amount, formulation, etc.)*:
Validation code: Captchapackage Image


Can't read the image? click here to refresh.
    *required field

Your bulk quote request has been submitted successfully!

Please contact us if you have any questions.