• Tel: 858.663.9055
  • SeparatorEmail: info@nsjbio.com
  • Tel: 858.663.9055
  • Email: info@nsjbio.com
Home >> Antibodies >> Recombinant Histone H1 Antibody

Recombinant Histone H1 Antibody [clone AE-4] (V7837)

  Catalog No Formulation Size Price (USD)  
Image V7837-100UG 0.2 mg/ml in 1X PBS with 0.1 mg/ml BSA (US sourced) and 0.05% sodium azide 100 ug 539
Image
V7837-20UG 0.2 mg/ml in 1X PBS with 0.1 mg/ml BSA (US sourced) and 0.05% sodium azide 20 ug 249
Image
V7837SAF-100UG 1 mg/ml in 1X PBS; BSA free, sodium azide free 100 ug 539
Microvalidated Recrabbitmono
Bulk quote request
Western blot testing of human heart lysate with recombinant Histone H1 antibody (clone AE-4). Predicted molecular weight ~20 kDa but can be observed at 27-33 kDa.
Immunofluorescent staining of PFA-fixed human HeLa cells with recombinant Histone H1 antibody (clone AE-4, green) and Phalloidin (red).
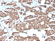
IHC staining of FFPE human skin basal cell carcinoma with recombinant Histone H1 antibody (clone AE-4). HIER: boil tissue sections in pH 9 10mM Tris with 1mM EDTA for 10-20 min and allow to cool before testing.
IHC staining of FFPE human breast carcinoma with recombinant Histone H1 antibody (clone AE-4). HIER: boil tissue sections in pH 9 10mM Tris with 1mM EDTA for 10-20 min and allow to cool before testing.
IHC staining of FFPE human colon carcinoma with recombinant Histone H1 antibody (clone AE-4). HIER: boil tissue sections in pH 9 10mM Tris with 1mM EDTA for 10-20 min and allow to cool before testing.
SDS-PAGE analysis of purified, BSA-free recombinant Histone H1 antibody (clone AE-4) as confirmation of integrity and purity.
Availability 1-3 business days
Species Reactivity Human, Mouse, Rat
Format Purified
Clonality Recombinant Rabbit Monoclonal
Isotype Rabbit IgG
Clone Name AE-4
Purity Protein A affinity chromatography
UniProt P07305
Localization Nuclear
Applications Flow Cytometry : 1-2ug/million cells in 0.1ml
Immunofluorescence : 1-2ug/ml
Immunohistochemistry (FFPE) : 1-2ug/ml
Western Blot : 1-2ug/ml
Limitations This recombinant Histone H1 antibody is available for research use only.
Review this product on BioCompare and get a $20 Amazon gift card

Related Products

  • Applications : FACS, IF, IHC-P, WB
    Reactivity : Human, Mouse, Rat
    Recrabbitmono
  • Applications : WB, ELISA, ICC
    Reactivity : All Species
    Recrabbitmono
  • Applications : FACS, IF, IHC-P, WB
    Reactivity : Human, Mouse, Rat
    Citation  Citations(10)
  • Applications : IF, IHC-P, WB, FACS
    Reactivity : Human, Mouse, Rat
    Citation  Citations(2)
  • Applications : FACS, IF, IHC-P, WB
    Reactivity : Human, Mouse, Rat
    Citation  Citations(4)
  • Applications : IF, IHC-P, WB, FACS
    Reactivity : Human, Rat
  • Applications : IF, IHC-P
    Reactivity : Human, Rat
  • Applications : WB, ELISA
    Reactivity : Human
    Pred. Reactivity : Bovine, C. elegans, Chicken, Drosophila, Mouse, Pig, Rat, Xenopus, Zebrafish
  • Applications : WB, ELISA
    Reactivity : Human
  • Applications : WB, ELISA
    Reactivity : Human
    Pred. Reactivity : Bovine, C. elegans, Chicken, Drosophila, Mouse, Pig, Rat, Xenopus, Zebrafish
  • Applications : WB, ELISA
    Reactivity : Human, Mouse
    Pred. Reactivity : Rat, Bovine, Pig, Chicken, Zebrafish, Rabbit, Xenopus, Drosophila, C. elegans
  • Applications : WB, ELISA
    Reactivity : Mouse
    Pred. Reactivity : Bovine, Rat
  • Applications : DB, ELISA
    Reactivity : Human
  • Applications : WB, IHC, FACS, ELISA
    Reactivity : Human
  • Applications : IHC, FACS, WB, DB, ELISA
    Reactivity : Human
  • Applications : WB, ELISA
    Reactivity : Human, Mouse
  • Applications : FACS, IF, IHC-P, WB
    Reactivity : Human, Mouse, Rat

Description

Please note that this antibody is a recombinant rabbit version of original anti-histone H1 antibody (clone AE-4). Because the variable heavy (VH) and variable light (VL) domains are the same, this recombinant antibody has the same exact reactivity as the original AE-4 MAb. There are several advantages of producing a recombinant version of a monoclonal antibody. For example, a recombinant antibody is a pure preparation of active immunoglobulin with no contaminating non-functional intact Ig or free light/heavy chains. Secondly, antibody can always be produced, even if hybridoma line is lost. Moreover, it adds the flexibility of converting the antibody to any species, isotype or format. Eukaryotic histones are basic and water-soluble nuclear proteins that form hetero-octameric nucleosome particles by wrapping 146 base pairs of DNA in a left-handed super-helical turn sequentially to form chromosomal fiber. Two molecules of each of the four core histones (H2A, H2B, H3, and H4) form the octamer; formed of two H2A-H2B dimers and two H3-H4 dimers, forming two nearly symmetrical halves by tertiary structure. Over 80% of nucleosomes contain the linker Histone H1, derived from an intronless gene that interacts with linker DNA between nucleosomes and mediates compaction into higher order chromatin. This antibody is extensively used as a pan-nuclear marker.

Application Notes

Optimal dilution of the recombinant Histone H1 antibody should be determined by the researcher.

Immunogen

Nuclei of human leukemia biopsy cells were used as the immunogen for this recombinant Histone H1 antibody.

Storage

Store the recombinant Histone H1 antibody at 2-8oC (with azide) or aliquot and store at -20oC or colder (without azide).

Cross
Bulk Quote Request Form
Name*:
Organization*:
Email*:
Phone Number*:
Catalog No.*:
Comments and Specifics(amount, formulation, etc.)*:
Validation code: Captchapackage Image


Can't read the image? click here to refresh.
    *required field

Your bulk quote request has been submitted successfully!

Please contact us if you have any questions.