• Tel: 858.663.9055
  • SeparatorEmail: info@nsjbio.com
  • Tel: 858.663.9055
  • Email: info@nsjbio.com
Home >> Antibodies >> Recombinant HHV8 Antibody

Recombinant HHV8 Antibody [clone HHV8/3633R] (V8474)

  Catalog No Formulation Size Price (USD)  
Image V8474-100UG 0.2 mg/ml in 1X PBS with 0.1 mg/ml BSA (US sourced) and 0.05% sodium azide 100 ug 539
Image
V8474-20UG 0.2 mg/ml in 1X PBS with 0.1 mg/ml BSA (US sourced) and 0.05% sodium azide 20 ug 249
Image
V8474SAF-100UG 1 mg/ml in 1X PBS; BSA free, sodium azide free 100 ug 539
Microvalidated Recrabbitmono
Bulk quote request
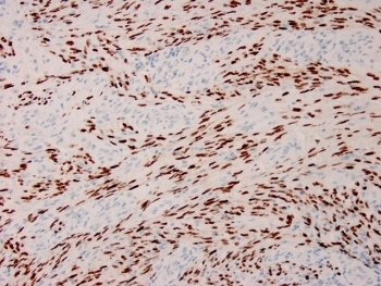
IHC staining of FFPE human Karposi's sarcoma with recombinant HHV8 antibody. HIER: boil tissue sections in pH 9 10mM Tris with 1mM EDTA for 20 min and allow to cool before testing.
SDS-PAGE analysis of purified, BSA-free recombinant HHV8 antibody as confirmation of integrity and purity.
Availability 1-3 business days
Format Purified
Clonality Recombinant Rabbit Monoclonal
Isotype Rabbit IgG
Clone Name HHV8/3633R
Purity Protein A affinity chromatography
Localization Nuclear
Applications ELISA : for coating use Ab at 1-5ug/ml (order Ab without BSA)
Immunofluorescence : 1-2ug/ml
Immunohistochemistry (FFPE) : 1-2ug/ml for 30 minutes at RT
Limitations This recombinant HHV8 antibody is available for research use only.
Review this product on BioCompare and get a $20 Amazon gift card

Related Products

Description

Recombinant HHV8 antibody detects proteins from human herpesvirus 8, also known as Kaposi’s sarcoma-associated herpesvirus. HHV8 is a gammaherpesvirus that infects endothelial and B cells and is strongly linked to Kaposi’s sarcoma, primary effusion lymphoma, and multicentric Castleman’s disease. Because HHV8 serves as a marker of viral oncogenesis and immune evasion, Recombinant HHV8 antibody is widely used in virology, oncology, and immunology.

HHV8 encodes a large genome with multiple latent and lytic proteins that modulate host signaling, angiogenesis, and immune recognition. Proteins such as latency-associated nuclear antigen (LANA) and viral cyclin are critical to persistence and transformation. HHV8 antigens are detectable in tumor tissues, where they provide diagnostic confirmation of infection-driven cancers. Studying HHV8 has clarified how persistent viral infection contributes to tumor development, making detection essential in both clinical and research contexts.

The Recombinant HHV8 antibody clone HHV8/3633R provides specific and reproducible recognition of viral proteins. Recombinant production ensures lot-to-lot consistency, reducing variability in longitudinal studies. Clone HHV8/3633R has been referenced in peer-reviewed research investigating viral latency, Kaposi’s sarcoma pathology, and immune responses to herpesviruses. Its versatility makes it suitable for immunohistochemistry, immunoblotting, and studies of viral pathogenesis.

Research using clone HHV8/3633R has demonstrated how detection of viral proteins enables confirmation of Kaposi’s sarcoma and related diseases. The antibody supports analysis of viral gene expression across latent and lytic phases, offering insights into the dynamic interplay between host and pathogen. Beyond oncology, HHV8 studies have illuminated how herpesviruses manipulate the immune system, angiogenesis, and cell survival pathways.

NSJ Bioreagents supplies this Recombinant HHV8 antibody to support virology, oncology, and immunopathology research. Alternate designations include human herpesvirus 8 antibody, Kaposi’s sarcoma-associated herpesvirus antibody, KSHV antibody, gammaherpesvirus antibody, and HHV8 infection marker antibody.

Application Notes

Optimal dilution of the recombinant HHV8 antibody should be determined by the researcher.

Immunogen

A recombinant protein corresponding to the latent nuclear antigen 1 molecule of HHV8 was used as the immunogen for the recombinant HHV8 antibody.

Storage

Store the recombinant HHV8 antibody at 2-8oC (with azide) or aliquot and store at -20oC or colder (without azide).

Cross
Bulk Quote Request Form
Name*:
Organization*:
Email*:
Phone Number*:
Catalog No.*:
Comments and Specifics(amount, formulation, etc.)*:
Validation code: Captchapackage Image


Can't read the image? click here to refresh.
    *required field

Your bulk quote request has been submitted successfully!

Please contact us if you have any questions.