• Tel: 858.663.9055
  • SeparatorEmail: info@nsjbio.com
  • Tel: 858.663.9055
  • Email: info@nsjbio.com
Home >> Antibodies >> Recombinant hCG alpha Antibody

Recombinant hCG alpha Antibody [clone HCGa/2728R] (V9334)

  Catalog No Formulation Size Price (USD)  
Image V9334-100UG 0.2 mg/ml in 1X PBS with 0.1 mg/ml BSA (US sourced), 0.05% sodium azide 100 ug 539
Image
V9334-20UG 0.2 mg/ml in 1X PBS with 0.1 mg/ml BSA (US sourced), 0.05% sodium azide 20 ug 249
Image
V9334SAF-100UG 1 mg/ml in 1X PBS; BSA free, sodium azide free 100 ug 539
Microvalidated Recrabbitmono
Bulk quote request
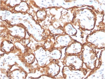
IHC staining of FFPE human placental tissue with recombinant hCG alpha antibody (clone HCGa/2728R). HIER: boil tissue sections in pH 9 10mM Tris with 1mM EDTA for 20 min and allow to cool before testing.
IHC staining of FFPE human placental tissue with recombinant hCG alpha antibody (clone HCGa/2728R). Negative control inset uses PBS in place of primary antibody. HIER: boil tissue sections in pH 9 10mM Tris with 1mM EDTA for 20 min and allow to cool before testing.
Availability 1-3 business days
Species Reactivity Human
Format Purified
Clonality Recombinant Rabbit Monoclonal
Isotype Rabbit IgG
Clone Name HCGa/2728R
Purity Protein A/G affinity
UniProt P01215
Localization Cytoplasmic, secreted
Applications Immunohistochemistry (FFPE) : 1-2ug/ml
Limitations This recombinant hCG alpha antibody is available for research use only.
Review this product on BioCompare and get a $20 Amazon gift card

Related Products

Description

Human chorionic gonadotropin antibody (hCG) is a glycoprotein hormone synthesized in syncytiotrophoblastic cells of placenta and in certain trophoblastic tumors. The hormone-specific alpha chains have molecular weights of 13 kDa. HCG is found in moles and choriocarcinoma, chorionic components of germ cell tumors, and syncytiotrophoblast like cells in seminoma/dysgerminoma and embryonal carcinoma. In diagnostic pathology, hCG is a useful marker for classification of germ cell tumors, identification of extragonadal germ cell tumors.

Application Notes

Optimal dilution of the recombinant hCG alpha antibody should be determined by the researcher.

Immunogen

A portion of amino acids 1-100 of hCG protein was used as the immunogen for the recombinant hCG alpha antibody.

Storage

Aliquot the recombinant hCG alpha antibody and store frozen at -20oC or colder. Avoid repeated freeze-thaw cycles.

Cross
Bulk Quote Request Form
Name*:
Organization*:
Email*:
Phone Number*:
Catalog No.*:
Comments and Specifics(amount, formulation, etc.)*:
Validation code: Captchapackage Image


Can't read the image? click here to refresh.
    *required field

Your bulk quote request has been submitted successfully!

Please contact us if you have any questions.