• Tel: 858.663.9055
  • SeparatorEmail: info@nsjbio.com
  • Tel: 858.663.9055
  • Email: info@nsjbio.com
Home >> Antibodies >> Recombinant HBA Antibody / Hemoglobin alpha

Recombinant HBA Antibody / Hemoglobin alpha [clone rHBA/9167] (V5570)

  Catalog No Formulation Size Price (USD)  
Image V5570-100UG 0.2 mg/ml in 1X PBS with 0.1 mg/ml BSA (US sourced), 0.05% sodium azide 100 ug 539
Image
V5570-20UG 0.2 mg/ml in 1X PBS with 0.1 mg/ml BSA (US sourced), 0.05% sodium azide 20 ug 249
Image
V5570SAF-100UG 1 mg/ml in 1X PBS; BSA free, sodium azide free 100 ug 539
Microvalidated Recmousemono
Bulk quote request
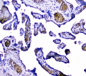
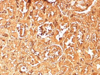
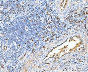
IHC staining of FFPE human kidney tissue with recombinant HBAa antibody (clone rHBA/9167). HIER: boil tissue sections in pH 9 10mM Tris with 1mM EDTA for 20 min and allow to cool before testing.
SDS-PAGE analysis of purified, BSA-free recombinant HBA antibody (clone rHBA/9167) as confirmation of integrity and purity.
Availability 1-3 business days
Species Reactivity Human
Format Purified
Clonality Recombinant Mouse Monoclonal
Isotype Mouse IgG2b, kappa
Clone Name rHBA/9167
Purity Protein A/G affinity
UniProt P69905
Localization Extracellular space
Applications Immunohistochemistry (FFPE) : 1-2ug/ml
Limitations This recombinant HBA antibody is available for research use only.
Review this product on BioCompare and get a $20 Amazon gift card

Related Products

Description

Hemoglobin (Hgb) is coupled to four iron-binding, methene-linked tetrapyrrole rings (heme). The alpha and beta globin loci determine the basic Hgb structure. The globin portion of Hgb consists of two alpha chains and two beta chains arranged in pairs forming a tetramer. Each of the four globin chains covalently associates with a heme group. The bonds between alpha and beta chains are weaker than between similar globin chains, thereby forming a cleavage plane that is important for oxygen binding and release. High affinity for oxygen occurs upon relaxation of the alpha1-beta2 cleavage plane. When the two alpha1-beta2 interfaces are closely bound, Hgb has a low affinity for oxygen. Hb A, which contains two alpha chains plus two beta chains, comprises 97% of total circulating hemoglobin. The remaining 3% of total circulating hemoglobin is comprised of Hb A-2, which consists of two alpha chains plus two delta chains, and fetal hemoglobin (Hb F), which consists of two alpha chains together with two gamma chains.

Application Notes

Optimal dilution of the recombinant HBA antibody should be determined by the researcher.

Immunogen

A recombinant fragment (within amino acids 1-100) of human HBA2 protein was used as the immunogen for the recombinant HBA antibody.

Storage

Aliquot the recombinant HBA antibody and store frozen at -20oC or colder. Avoid repeated freeze-thaw cycles.

Cross
Bulk Quote Request Form
Name*:
Organization*:
Email*:
Phone Number*:
Catalog No.*:
Comments and Specifics(amount, formulation, etc.)*:
Validation code: Captchapackage Image


Can't read the image? click here to refresh.
    *required field

Your bulk quote request has been submitted successfully!

Please contact us if you have any questions.