• Tel: 858.663.9055
  • SeparatorEmail: info@nsjbio.com
  • Tel: 858.663.9055
  • Email: info@nsjbio.com
Home >> Antibodies >> Recombinant H3K27me3 Antibody

Recombinant H3K27me3 Antibody [clone RM175] (R20215)

  Catalog No Formulation Size Price (USD)  
Image R20215-100UG 1 mg/ml in PBS with 50% glycerol, 1% BSA and 0.09% sodium azide 100 ug 485
Image
R20215-25UG 1 mg/ml in PBS with 50% glycerol, 1% BSA and 0.09% sodium azide 25 ug 249
Microvalidated Recrabbitmono
Bulk quote request
Western blot of recombinant Histone H3.3 (1) and acid extracts of HeLa cells (2) using recombinant H3K27me3 antibody at 1 ug/ml showed a band of histone H3 trimethylated at Lysine 27 (K27me3) in HeLa cells.
The recombinant H3K27me3 antibody specifically reacts to Histone H3 trimethylated at Lysine 27 (K27me3). No cross reactivity with non-modified (K27 Ctrl), monomethylated (K27me1) or dimethylated Lysine 27 (K27me2), or other methylations in Histone H3.
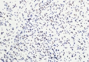
IHC staining of FFPE human brain tissue with recombinant H3K27me3 antibody. HIER: boil tissue sections in pH6, 10mM citrate buffer, for 20 min and allow to cool before testing.
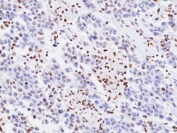
IHC staining of FFPE human seminoma tissue with recombinant H3K27me3 antibody. HIER: boil tissue sections in pH6, 10mM citrate buffer, for 20 min and allow to cool before testing.
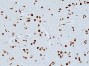
IHC staining of FFPE human glioblastoma tissue with recombinant H3K27me3 antibody. HIER: boil tissue sections in pH6, 10mM citrate buffer, for 20 min and allow to cool before testing.
Availability 1-3 business days
Species Reactivity Human
Predicted Reactivity Human
Format Purified
Clonality Recombinant Rabbit Monoclonal
Isotype Rabbit IgG
Clone Name RM175
Purity Protein A purified from animal origin-free supernatant
UniProt P84243
Gene ID 8350
Localization Nuclear
Applications Western Blot : 1-2ug/ml
Immunohistochemistry (FFPE) : 0.5-2.5ug/ml
ELISA : 0.5-1ug/ml
Limitations This recombinant H3K27me3 antibody is available for research use only.
Review this product on BioCompare and get a $20 Amazon gift card

Description

This recombinant H3K27me3 antibody reacts to Histone H3 trimethylated at Lysine 27 (K27me3). No cross reactivity with monomethylated (K27me1) or dimethylated Lysine 27 (K27me2), or other methylations in Histone H3.

Application Notes

The stated application concentrations are suggested starting points. Titration of the recombinant H3K27me3 antibody may be required due to differences in protocols and secondary/substrate sensitivity.

Immunogen

A trimethyl-peptide corresponding to Trimethyl-Histone H3 (Lys27) was used as the immunogen for this recombinant H3K27me3 antibody.

Storage

Store the recombinant H3K27me3 antibody at -20oC (with glycerol) or aliquot and store at -20oC (without glycerol).

Cross
Bulk Quote Request Form
Name*:
Organization*:
Email*:
Phone Number*:
Catalog No.*:
Comments and Specifics(amount, formulation, etc.)*:
Validation code: Captchapackage Image


Can't read the image? click here to refresh.
    *required field

Your bulk quote request has been submitted successfully!

Please contact us if you have any questions.