• Tel: 858.663.9055
  • SeparatorEmail: info@nsjbio.com
  • Tel: 858.663.9055
  • Email: info@nsjbio.com
Home >> Antibodies >> Recombinant GTBP Antibody / G/T mismatch-binding protein / MSH6

Recombinant GTBP Antibody / G/T mismatch-binding protein / MSH6 [clone MSH6/13194R] (V5723)

  Catalog No Formulation Size Price (USD)  
Image V5723-100UG 0.2 mg/ml in 1X PBS with 0.1 mg/ml BSA (US sourced), 0.05% sodium azide 100 ug 539
Image
V5723-20UG 0.2 mg/ml in 1X PBS with 0.1 mg/ml BSA (US sourced), 0.05% sodium azide 20 ug 249
Image
V5723SAF-100UG 1 mg/ml in 1X PBS; BSA free, sodium azide free 100 ug 539
Microvalidated Recrabbitmono
Bulk quote request
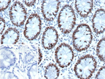
IHC staining of FFPE human colon tissue with recombinant GTBP antibody (clone MSH6/13194R). Inset: PBS used in place of primary Ab (secondary Ab negative control). HIER: boil tissue sections in pH 9 10mM Tris with 1mM EDTA for 20 min and allow to cool before testing.
Availability 1-3 business days
Species Reactivity Human
Format Purified
Clonality Recombinant Rabbit Monoclonal
Isotype Rabbit IgG, kappa
Clone Name MSH6/13194R
Purity Protein A affinity
UniProt P52701
Localization Nucleus
Applications Immunohistochemistry (FFPE) : 1-2ug/ml
Limitations This recombinant GTBP antibody is available for research use only.
Review this product on BioCompare and get a $20 Amazon gift card

Related Products

Description

MSH6, also called GTBP or G/T mismatch-binding protein, is a mismatch repair protein which is deficient in a high proportion of patients with microsatellite instability (MSI-H). It has been suggested that the deficiencies in DNA mismatch repair protein(s) can be seen in some malignancies such as hereditary nonpolyposis colorectal cancer (HNPCC) and endometrial cancer. MSH6 expressed in all proliferating cells participate in repair of base-base mismatch, that occur during DNA replication. Loss of MSH6/GTBP expression leads to an accumulation of DNA replication errors in the proliferating cells, particularly in areas of the genome with short repetitive nucleotide sequences, a phenomenon known as microsatellite instability (MSI). MSH6/GTBP always used as panel with MLH1, MSH2, PMS2, and may be useful to aid in identifying the most probable gene responsible for the MSI.

Application Notes

Optimal dilution of the recombinant GTBP antibody should be determined by the researcher.

Immunogen

A portion of amino acids 1-200 from human G/T mismatch-binding protein was used as the immunogen for the recombinant GTBP antibody.

Storage

Aliquot the recombinant GTBP antibody and store frozen at -20oC or colder. Avoid repeated freeze-thaw cycles.

Cross
Bulk Quote Request Form
Name*:
Organization*:
Email*:
Phone Number*:
Catalog No.*:
Comments and Specifics(amount, formulation, etc.)*:
Validation code: Captchapackage Image


Can't read the image? click here to refresh.
    *required field

Your bulk quote request has been submitted successfully!

Please contact us if you have any questions.